• 2026年第32卷第2期文章目次
    全 选
    显示方式: |
    • >论 著
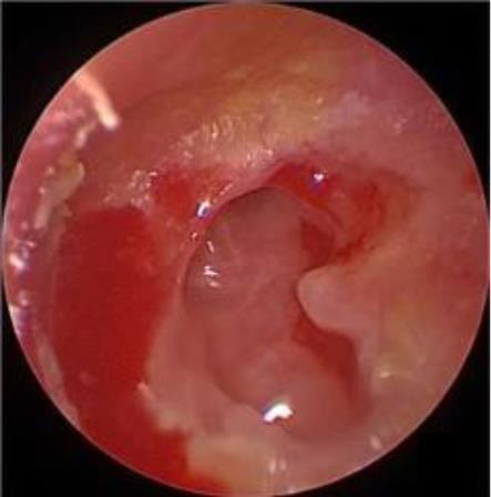
    • 医用生物蛋白胶应用于耳内镜下鼓膜修补术的临床疗效

      2026, 32(2):1-8. DOI: 10.12235/E20250262

      摘要 (63) HTML (32) PDF 5.42 M (59) 评论 (0) 收藏

      摘要:目的 分析医用生物蛋白胶应用于耳内镜下鼓膜修补术的临床疗效。方法 回顾性分析2022年10月-2023年10月该院收治的60例单纯鼓膜穿孔患者的临床资料,根据手术方法不同,将患者分为研究组和对照组,各30例。研究组术中使用医用生物蛋白胶粘合残余鼓膜和修补材料;对照组术中采用明胶海绵覆盖修补鼓膜。观察两组患者术后的鼓膜愈合情况(鼓膜愈合率、愈合时间、干耳时间和外耳道上下径)和并发症发生情况;于手术前后,采用纯音测听法(500、1 000、2 000、4 000 Hz),测量两组患者气导阈值,观察听力改善程度;采用视觉模拟评分法(VAS)评分,评估患者术后疼痛程度。结果 两组患者术后鼓膜愈合率、愈合时间、外耳道上下径和并发症发生率比较,差异均无统计学意义(P > 0.05)。研究组术后平均气导听阈明显低于对照组,差异有统计学意义(P < 0.05)。研究组术后干耳时间短于对照组,术后第1天疼痛VAS评分明显低于对照组,差异均有统计学意义(P < 0.05)。结论 医用生物蛋白胶应用于耳内镜下鼓膜修补术,可有效地降低气导听阈,缩短干耳时间,减轻患者疼痛,且不增加并发症发生率,值得临床推广应用。

      • 0+1
      • 1+1
      • 2+1
      • 3+1
      • 4+1
      • 5+1
      • 6+1
      • 7+1
      • 8+1
      • 9+1
      • 10+1
      • 11+1
      • 12+1
      • 13+1
      • 14+1
      • 15+1
      • 16+1
      • 17+1
      • 18+1
      • 19+1
      • 20+1
      • 21+1
      • 22+1
      • 23+1
      • 24+1
      • 25+1
      • 26+1
      • 27+1
      • 28+1
      • 29+1
      • 30+1
      • 31+1
    • 内镜下经中鼻甲基板入路四步程序化开放蝶窦的疗效分析

      2026, 32(2):9-15. DOI: 10.12235/E20250383

      摘要 (57) HTML (63) PDF 4.57 M (65) 评论 (0) 收藏

      摘要:目的 探究经中鼻甲基板入路的手术技巧及临床效果,旨在系统评估一种兼具良好手术视野和微创性的蝶窦开放径路。方法 回顾性分析2019年9月-2023年9月该院收治的35例孤立性蝶窦病变或单侧蝶窦伴毗邻筛窦受累患者的临床资料,均经中鼻甲基板入路的“四步”程序化操作开放蝶窦。观察手术相关情况和并发症发生情况;采用视觉模拟评分法(VAS)评分,评估头痛和流涕等症状改善情况;采用改良隆德-肯尼迪(MLK)评分,评价术腔恢复状况。结果 所有患者术中保留钩突、中鼻甲和筛泡,26例(74.3%)保留上鼻甲;所有患者均达到临床治愈标准,表现为:术腔引流通畅,黏膜完全上皮化,以及蝶窦开口维持良好开放状态。术后病理显示:蝶窦霉菌病19例(54.3%),蝶窦息肉7例(20.0%),蝶窦黏膜慢性炎症9例(25.7%)。所有患者均未发生严重并发症,仅1例(2.9%)于术后12 d出现中鼻甲创面渗血,经电凝止血后治愈。头痛VAS评分由术前的(4.71±1.66)分,降至术后的(0.83±0.39)分,手术前后比较,差异有统计学意义(t = 13.71,P < 0.01);流涕VAS评分由术前的4.00(0.00,6.00)分,降至术后的0.00(0.00,1.00)分,手术前后比较,差异有统计学意义(Z = -4.47,P < 0.01);手术前后嗅觉减退VAS评分比较,差异无统计学意义(P > 0.05)。MLK评分由术前的4.50(2.00,4.00)分降至1.00(0.00,1.00)分,手术前后比较,差异有统计学意义(Z = -5.20,P < 0.01)。结论 经中鼻甲基板入路蝶窦开放术,严格遵循鼻窦解剖层次,在最大限度地保留鼻腔生理结构的前提下,可获得理想的术野暴露。该术式对于局限于蝶窦及后组筛窦的病变,具有确切的临床疗效。值得应用于临床。

      • 0+1
      • 1+1
      • 2+1
      • 3+1
      • 4+1
      • 5+1
      • 6+1
      • 7+1
      • 8+1
      • 9+1
      • 10+1
      • 11+1
      • 12+1
      • 13+1
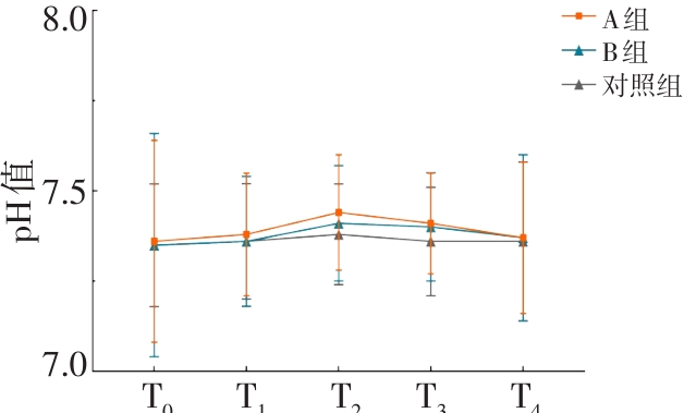
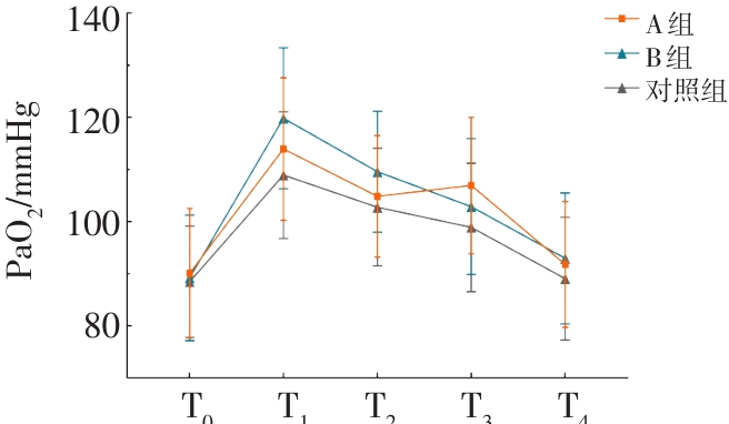
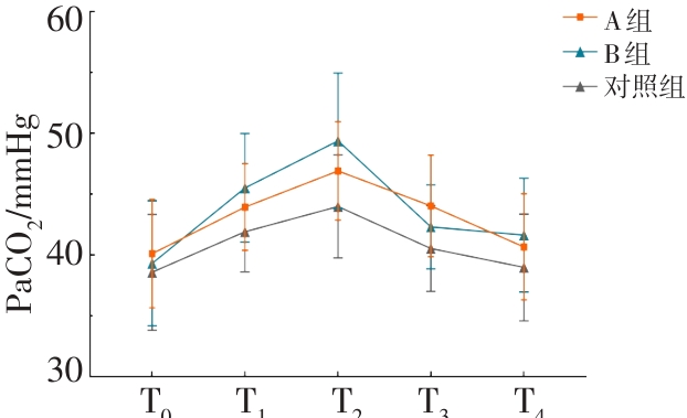
    • 经鼻高流量湿化氧疗与高频通气对行无痛支气管镜检查术患者血气指标的影响

      2026, 32(2):16-25. DOI: 10.12235/E20250385

      摘要 (56) HTML (40) PDF 1.54 M (55) 评论 (0) 收藏

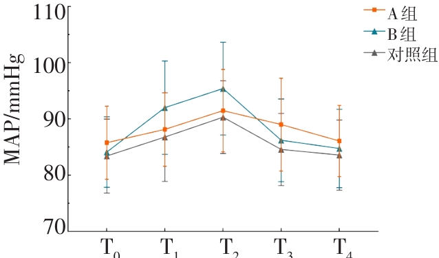
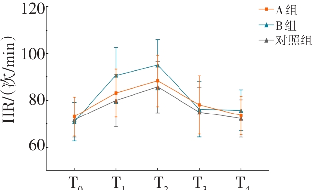
      摘要:目的 分析经鼻高流量湿化氧疗(HFNC)与高频通气对无痛支气管镜检查术患者血气指标的影响。方法 选取2024年2月-2024年10月该院收治的,并行无痛支气管镜检查术的患者130例,依据随机数表法分为3组。其中,A组(43例)行HFNC治疗,B组(43例)行高频通气治疗,对照组(44例)行经鼻持续正压通气治疗。比较3组患者支气管镜检查前(T0)、支气管镜进入气管分叉时(T1)、检查结束时(T2)、检查结束后30 min(T3)和检查结束后2 h(T4)的生命体征和血气分析指标;比较3组患者不良反应发生率和镜检满意度。结果 3组患者心率(HR)、呼吸频率(RR)、平均动脉压(MAP)和动脉血二氧化碳分压(PaCO2)的时间、交互和组间效应比较,差异均有统计学意义(P < 0.05),3组患者动脉血氧分压(PaO2)的时间和交互效应比较,差异均有统计学意义(P < 0.05),组间效应比较,差异无统计学意义(P > 0.05)。与T0时点相比,A组和B组T1、T2和T3时点的HR、RR、MAP、PaO2和PaCO2明显升高,差异均有统计学意义(P < 0.05),pH值无明显变化(P > 0.05);T1和T2时点,B组HR、RR、MAP、PaO2和PaCO2水平明显高于A组和对照组,差异均有统计学意义(P < 0.05);T3时点,A组HR、RR、MAP、PaO2和PaCO2水平明显高于B组和对照组,且B组RR、PaO2和PaCO2明显高于对照组,差异均有统计学意义(P < 0.05);T4时点,3组患者HR、RR、MAP、PaO2、PaCO2和pH值均恢复至T0时点。A组不良反应总发生率为2.33%,明显低于B组的16.28%和对照组的22.73%,A组镜检满意度为95.35%,明显高于B组的81.40%和对照组的65.91%,差异均有统计学意义(P < 0.05)。结论 相比于传统经鼻持续正压通气治疗,HFNC和高频通气对行无痛支气管镜检术患者的血气分析指标均有改善作用,且HFNC比高频通气改善效果更好,不良反应总发生率更低,镜检满意度更好。

      • 0+1
      • 1+1
      • 2+1
      • 3+1
      • 4+1
      • 5+1
      • 6+1
      • 7+1
      • 8+1
      • 9+1
    • 斑马镜处理超高龄患者肾和输尿管上段结石的可行性

      2026, 32(2):26-32. DOI: 10.12235/E20250074

      摘要 (37) HTML (22) PDF 732.77 K (58) 评论 (0) 收藏

      摘要:目的 探讨国产一次性输尿管软镜(斑马镜)处理超高龄患者肾和/或输尿管上段结石的可行性。方法 回顾性分析2022年5月-2025年1月95例于该院使用斑马镜处理的肾和/或输尿管上段结石的患者的临床资料,根据患者年龄分为对照组(40例)、老年组(31例)和超高龄组(24例)。比较3组患者手术时间、住院时间、结石清除率、再手术率和术后并发症发生率(发热、血尿、腰痛和石街形成)。结果 3组患者手术时间、再手术率、发热、血尿和石街形成发生率比较,差异均无统计学意义(P > 0.05)。老年组住院时间较对照组和超高龄组长,差异有统计学意义(P < 0.05);对照组和老年组结石清除率高于超高龄组,差异有统计学意义(P < 0.05);老年组腰痛发生率较对照组低,差异有统计学意义(P < 0.0167)。结论 在准备充分的前提下,斑马镜碎石术治疗超高龄患者肾和/或输尿管上段结石是安全、有效的,具有一定的推广价值。

    • 环泊酚与丙泊酚诱导镇静用于无痛胃镜检查对咽部吞咽功能的影响:一项前瞻性随机对照试验

      2026, 32(2):33-41. DOI: 10.12235/E20250225

      摘要 (48) HTML (52) PDF 3.50 M (63) 评论 (0) 收藏

      摘要:目的 比较环泊酚与丙泊酚对无痛胃镜检查患者咽部吞咽功能的影响。方法 选择2021年12月8日-2022年12月8日于该院行无痛胃镜检查的患者237例。采用随机数表法将患者分为丙泊酚组(P组,n = 121)和环泊酚组(C组,n = 116)。P组手控静脉注射丙泊酚剂量2.5 mg/kg,C组手控静脉注射环泊酚剂量0.6 mg/kg,推注时间 > 30 s。改良警觉/镇静评分量表(MOAA/S)评分 ≤ 1分时,行内镜检查。记录麻醉诱导前(T1)、胃镜通过口腔时(T2)、胃镜退出时(T3)、入麻醉恢复室(PACU)时(T4)和出PACU时(T5)的血流动力学指标[平均动脉压(MAP)和心率(HR)]、麻醉相关情况[检查时间、镇静药物总剂量、补充镇静药物剂量、苏醒时间和PACU停留时间]、吞咽功能[吞咽困难严重性评分(DSS)、渗透-误吸量表(PAS)评分、喉内收反射发生情况和环杓关节松弛情况]和不良反应发生情况(注射痛、体动、呼吸抑制、呼吸暂停、气道梗阻、心动过缓和术后头晕)。结果 C组重度吞咽功能障碍发生率为12.9%,明显低于P组的33.1%;C组PAS评分7和8分的占比为12.9%,明显低于P组的33.1%;C组喉内收反射消失率为37.1%,明显低于P组的56.2%;C组环杓关节松弛率为42.2%,明显低于P组的56.2%,差异均有统计学意义(P < 0.05)。两组患者不同时点血流动力学指标、检查时间、苏醒时间和PACU停留时间比较,差异均无统计学意义(P > 0.05)。C组镇静药物总剂量和补充镇静药物剂量明显少于P组,差异均有统计学意义(P < 0.05)。C组体动发生率为15.5%,明显低于P组的31.4%,C组呼吸暂停发生率为0.0%,明显低于P组的5.0%,C组注射痛发生率为5.2%,明显低于P组的66.9%,差异均有统计学意义(P < 0.05)。两组患者呼吸抑制、气道梗阻、心动过缓及术后头晕发生率比较,差异均无统计学意义(P > 0.05)。结论 在胃镜检查时,与单独使用丙泊酚相比,单独应用环泊酚,可能更有利于患者在镇静状态下,保留一定的吞咽功能,还能减少体动的发生,降低误吸的发生风险。值得应用于临床。

      • 0+1
      • 1+1
      • 2+1
      • 3+1
      • 4+1
      • 5+1
    • 环泊酚复合艾司氯胺酮或瑞芬太尼用于肥胖患者无痛胃镜和结肠镜检查的临床研究

      2026, 32(2):42-50. DOI: 10.12235/E20250161

      摘要 (63) HTML (30) PDF 787.93 K (45) 评论 (0) 收藏

      摘要:目的 对比环泊酚复合艾司氯胺酮或瑞芬太尼在肥胖患者无痛胃镜和结肠镜检查中的应用效果和安全性。方法 选择2024年1月-2024年10月该院收治的因腹痛或大便不成型入院,拟行无痛胃镜联合结肠镜检查的肥胖患者126例,采用随机数表法分为观察组和对照组,各63例。观察组麻醉镇痛方案采用环泊酚复合艾司氯胺酮,对照组采用环泊酚复合瑞芬太尼。比较两组患者不同时点[麻醉诱导前即刻(T0)、麻醉诱导完成即刻(T1)、胃镜过喉部时(T2)、结肠镜过肝曲时(T3)和检查结束即刻(T4)]血流动力学指标[心率(HR)、经皮动脉血氧饱和度(SpO2)和平均动脉压(MAP)]。比较两组患者麻醉相关情况(胃镜和结肠镜检查时间、麻醉诱导时间、麻醉苏醒时间和离院时间)。比较两组患者环泊酚消耗量、血管活性药物使用情况和不良反应发生情况;比较两组患者苏醒时、苏醒后30 min静息时疼痛视觉模拟评分法(VAS)评分,以及患者和麻醉医师的满意度评分。结果 两组患者MAP、HR和SpO2的时间、组间和交互效应比较,差异均有统计学意义(P < 0.05)。观察组T1、T2、T3和T4时点MAP和HR明显高于对照组,T1、T2和T3时点SpO2明显高于对照组,差异均有统计学意义(P < 0.05)。观察组T1、T2和T3时点MAP明显低于T0时点,T3时点HR明显低于T0时点,差异均有统计学意义(P < 0.05);对照组T1、T2、T3和T4时点MAP和HR明显低于T0时点,T1、T2和T3时点SpO2明显低于T0时点,差异均有统计学意义(P < 0.05)。两组患者胃镜和结肠镜检查时间、麻醉诱导时间、麻醉苏醒时间和离院时间比较,差异均无统计学意义(P > 0.05)。观察组环泊酚麻醉诱导消耗量、维持消耗量和总消耗量明显少于对照组,血管活性药物使用率明显低于对照组,差异均有统计学意义(P < 0.05)。观察组呼吸抑制(0.00%)、低血压(1.59%)和心动过缓(0.00%)发生率明显低于对照组(9.52%、12.70%和11.11%),差异均有统计学意义(P < 0.05),两组患者气道梗阻、恶心呕吐、头晕头痛、注射痛、呛咳和体动发生率比较,差异均无统计学意义(P > 0.05)。观察组苏醒时和苏醒后30 min,静息时疼痛VAS评分明显低于对照组,差异均有统计学意义(P < 0.05)。观察组患者满意度和麻醉医师满意度评分比较,差异均有统计学意义(P < 0.05)。结论 肥胖患者无痛胃镜和结肠镜检查中应用环泊酚复合艾司氯胺酮,相较于环泊酚复合瑞芬太尼,能进一步维持患者血流动力学稳定,减轻对呼吸和循环的抑制,减少环泊酚用量,提高患者和麻醉医师满意度。值得临床推广应用。

    • 术中血压变异性对膝关节镜下前交叉韧带重建术止血带相关高血压的预测价值

      2026, 32(2):51-57. DOI: 10.12235/E20250026

      摘要 (29) HTML (17) PDF 852.10 K (29) 评论 (0) 收藏

      摘要:目的 探讨术中血压变异性(BPV)对膝关节镜下前交叉韧带(ACL)重建术止血带相关高血压(TIH)的预测价值。方法 选取2023年1月-2024年9月该院收治的择期行膝关节镜下ACL重建术的患者129例,观察终点为患者术中发生TIH或手术结束。根据术中是否发生TIH,将患者分为TIH组(49例)和非TIH组(80例)。收集患者临床资料,计算并分析术中BPV相关指标。采用多因素Logistic回归模型,分析膝关节镜下ACL重建术后发生TIH的独立危险因素。绘制受试者操作特征曲线(ROC curve),并计算曲线下面积(AUC),分析术中BPV相关的预测价值。结果 最终纳入129例患者,发生TIH 49例,占比37.98%(49/129)。与非TIH组相比,TIH组止血带使用时间长,止血带压力高,收缩压变异系数(SBP-CV)和平均动脉压变异系数(MAP-CV)高,差异均有统计学意义(P < 0.05)。多因素Logistic回归分析结果显示:止血带压力 > 351 mmHg、SBP-CV > 8.72%和MAP-CV > 5.14%是膝关节镜下ACL重建术患者发生TIH的独立危险因素(P < 0.05)。ROC curve分析发现,SBP-CV和MAP-CV预测膝关节镜下ACL重建术患者发生TIH的AUC分别为0.787(95%CI:0.702~0.872)和0.791(95%CI:0.715~0.867)。结论 止血带压力、SBP-CV和MAP-CV与膝关节镜下ACL重建术患者发生TIH有关,且MAP-CV和SBP-CV对TIH均有良好的预测能力,可作为术后监测的重要指标。

      • 0+1
    • 腹腔镜胆总管探查术与内镜十二指肠乳头括约肌切开术后胆总管结石复发率比较

      2026, 32(2):58-62. DOI: 10.12235/E20250553

      摘要 (29) HTML (41) PDF 678.98 K (27) 评论 (0) 收藏

      摘要:目的 评估腹腔镜胆总管探查术(LCBDE)与内镜十二指肠乳头括约肌切开术(EST)联合腹腔镜胆囊切除术(LC),治疗胆囊结石伴胆总管结石患者的远期疗效。方法 回顾性分析2018年1月-2020年12月该院272例符合特定标准的胆囊结石伴胆总管结石患者(胆总管直径为9~15 mm,结石最大径 < 15 mm)的临床资料,根据手术方式不同,将患者分为LCBDE+LC组和EST+LC组。重点比较两组患者胆总管结石复发情况。结果 术后随访数据显示,LCBDE+LC组术后结石复发率为12.0%,较EST+LC组的15.6%低,但两组比较,差异无统计学意义(P > 0.05)。结论 针对胆总管直径为9~15 mm的胆囊结石伴胆总管结石患者,LCBDE+LC与EST+LC两种术式均为安全、有效的治疗选择。临床决策时,建议结合患者个体特征进行综合评估,选取最适宜的手术方案。

      • 0+1
    • 腹腔镜胃癌根治术中肝总动脉后入路8p组淋巴结清扫的临床效果研究

      2026, 32(2):63-69. DOI: 10.12235/E20250090

      摘要 (33) HTML (24) PDF 2.18 M (48) 评论 (0) 收藏

      摘要:目的 探讨腹腔镜胃癌根治术中联合肝总动脉后入路行8p组淋巴结清扫的安全性、可行性和短期预后。方法 回顾性分析2018年1月-2021年9月在该院胃肠外科行腹腔镜胃癌根治术的560例患者的临床资料。按照实际手术方式分为两组,观察组(182例)行腹腔镜胃癌根治术联合肝总动脉后入路8p组淋巴结清扫,对照组(378例)行标准腹腔镜胃癌根治术。比较两组患者手术相关指标,分析8p组淋巴结与胰腺上区淋巴结转移的相关性,以及8p组淋巴结转移对预后的影响。结果 观察组手术时间明显长于对照组,淋巴结检出总数多于对照组,差异均有统计学意义(P < 0.05);两组患者术后住院时间比较,差异无统计学意义(P > 0.05)。观察组术后肿瘤N2分期和N3分期占比高于对照组,差异有统计学意义(P < 0.05)。两组患者术中门静脉损伤、肝总动脉损伤、术后创伤性胰腺炎、胰漏、淋巴漏和腹腔出血等并发症的发生率比较,差异均无统计学意义(P > 0.05)。观察组中有23例(12.64%)发生8p组淋巴结转移,单因素分析和多因素Logistic回归模型分析均提示,8p组淋巴结转移与胰腺上区的7、8a和11p组淋巴结转移相关。术后随访3~66个月,中位随访时间49个月,亚组分析结果显示,8p组淋巴结阳性组的1和3年生存率分别为78.20%和39.10%,阴性组分别为89.90%和76.10%,差异均有统计学意义(P < 0.05)。结论 胃癌患者有一定的8p组淋巴结转移率,胰腺上区7、8a和11p组淋巴结转移是8p组淋巴结转移的危险因素,清扫8p组淋巴结的胃癌患者,具有更高的淋巴结转移度分布,8p组淋巴结转移是影响胃癌患者预后的重要因素。腹腔镜胃癌根治术联合肝总动脉后入路行8p组淋巴结清扫,可提高淋巴结清扫效果,且不增加手术副损伤和术后并发症,是安全和可行的。

      • 0+1
      • 1+1
      • 2+1
      • 3+1
      • 4+1
      • 5+1
      • 6+1
      • 7+1
      • 8+1
    • 不同剂量瑞马唑仑在老年肥胖患者无痛胃镜检查中的效果比较

      2026, 32(2):70-76. DOI: 10.12235/E20250218

      摘要 (31) HTML (57) PDF 775.32 K (29) 评论 (0) 收藏

      摘要:目的 探究不同剂量瑞马唑仑用于老年肥胖患者无痛胃镜检查的临床效果。方法 选择2024年1月-2024年6月于该院择期行无痛胃镜检查的老年肥胖患者160例。采用随机数表法分组:P组(丙泊酚,40例)、R1组(瑞马唑仑0.20 mg/kg,40例)、R2组(瑞马唑仑0.30 mg/kg,40例)和R3组(瑞马唑仑0.40 mg/kg,40例)。对比4组患者麻醉相关情况和不良反应发生率;记录4组患者麻醉诱导前、进镜3 min后和检查结束时的血流动力学指标。结果 与P组和R1组相比,R2组和R3组镇静起效时间更短,差异均有统计学意义(P < 0.05);R3组苏醒时间长于P组、R1组和R2组,差异均有统计学意义(P < 0.05);与P组和R3组相比,R1组和R2组恢复室观察时间更短,差异均有统计学意义(P < 0.05);与P组和R1组相比,R2组和R3组补救镇静次数更少,差异均有统计学意义(P < 0.05)。4组患者诱导前、进镜3 min后和检查结束时心率(HR)、收缩压(SBP)、舒张压(DBP)和经皮动脉血氧饱和度(SpO2)比较,差异均无统计学意义(P > 0.05)。P组低血压、呼吸抑制、注射痛和心动过缓发生率明显高于R1组、R2组和R3组,差异均有统计学意义(P < 0.05),R1组、R2组和R3组低血压、呼吸抑制、注射痛和心痛过缓发生率比较,差异均无统计学意义(P > 0.05)。结论 瑞马唑仑用于老年肥胖患者无痛胃镜检查,较丙泊酚可以降低不良反应发生率。当瑞马唑仑剂量达到0.30 mg/kg时,即可缩短麻醉起效时间和恢复室观察时间,减少补救镇静次数。值得应用于临床。

    • 不同剂量甘露醇十二指肠乳头局部喷洒预防内镜逆行胰胆管造影术后胰腺炎的疗效评价

      2026, 32(2):77-85. DOI: 10.12235/E20250401

      摘要 (26) HTML (20) PDF 772.02 K (29) 评论 (0) 收藏

      摘要:目的 评估不同剂量甘露醇喷洒于十二指肠乳头局部,预防内镜逆行胰胆管造影术(ERCP)后胰腺炎的临床疗效及安全性。方法 回顾性分析2020年1月-2024年10月该院消化内科收治的138例成功完成ERCP的患者的临床资料。根据手术结束前喷洒不同剂量甘露醇,将患者分为4组:D1组(33例)喷洒20 mL 20%甘露醇溶液,D2组(37例)喷洒60 mL 20%甘露醇溶液,D3组(33例)喷洒100 mL 20%甘露醇溶液,C组(对照组,35例)未喷洒任何液体。比较4组患者术前12 h、术后12 h、术后24 h和术后48 h的白细胞(WBC)、C反应蛋白(CRP)和淀粉酶(AMS)水平变化情况;评估4组患者术后高淀粉酶血症(PEHA)和术后胰腺炎(PEP)的发生率,以及不良反应发生情况。结果 术前12 h,4组间WBC、CRP和AMS水平比较,差异均无统计学意义(P > 0.05)。术后12、24和48 h,D2组和D3组同时点WBC、CRP和AMS水平明显低于C组和D1组,差异均有统计学意义(P < 0.05);D2组与D3组、C组与D1组同时点组间WBC、CRP和AMS水平比较,差异均无统计学意义(P > 0.05)。术后,D2组和D3组PEHA发生率分别为:21.6%(8/37)和18.2%(6/33),明显低于C组的48.6%(17/35)和D1组的45.5%(15/33),差异均有统计学意义(P < 0.05);D2组和D3组PEP发生率分别为:2.7%(1/37)和3.0%(1/33),低于C组的11.4%(4/35)和D1组的9.1%(3/33),但4组间比较,差异无统计学意义(P > 0.05)。术后,D3组不良反应总发生率为45.5%(15/33),明显高于其他3组,差异有统计学意义(P < 0.05);D2组不良反应总发生率为8.1%(3/37),但与C组和D1组比较,差异无统计学意义(P > 0.05)。结论 ERCP结束前于十二指肠乳头局部喷洒甘露醇60和100 mL,均能明显降低患者术后WBC、CRP、AMS水平和PEHA发生率,且对PEP具有一定的预防作用,而60 mL为更优剂量选择,不良反应少,且安全性高。

    • >临床研究
    • EyeMax洞察胆胰管成像系统辅助内镜逆行阑尾炎治疗术的疗效及安全性分析

      2026, 32(2):86-92. DOI: 10.12235/E20250053

      摘要 (56) HTML (60) PDF 1.80 M (30) 评论 (0) 收藏

      摘要:目的 探究一次性eyeMax洞察胰胆管成像系统辅助内镜逆行阑尾炎治疗术(ERAT)治疗阑尾炎的效果及安全性。方法 回顾性分析2023年4月-2024年9月在该院就诊,通过影像学或内镜检查确诊的54例非复杂性阑尾炎患者的临床资料。所有患者均行eyeMax洞察胆胰管成像系统辅助ERAT,于直视下观察阑尾腔,并通过冲洗、取石、扩张狭窄和支架引流等措施治疗阑尾炎。观察手术相关指标、术后疼痛程度、并发症发生情况、术后1年内复发率、结肠镜下表现、胰胆管成像系统下表现和胆胰管成像系统下治疗情况。结果 54例患者均顺利完成手术,技术成功率为100.0%,手术时间(60.6±27.9)min,住院时间(3.6±1.5)d;30例(55.6%)阑尾开口及周边黏膜充血水肿,2例(3.7%)可见脓液及污秽物流出;54例(100.0%)患者阑尾腔内壁充血水肿,51例(94.4%)可见腔内絮状物、脓液或脓苔附着,25例(46.3%)可见腔内粪石,15例(27.8%)可见管腔走形迂曲或狭窄。所有患者予以eyeMax洞察胰胆管成像系统治疗,简单灌洗54例,网篮取石20例,支架引流25例。术后VAS评分为0(0,0)分,明显低于术前的6(3,7)分,手术前后比较,差异有统计学意义(Z = -6.24,P = 0.000)。所有患者术后症状均暂时缓解,术中及术后未发生穿孔和大出血等严重不良事件。随访1年内,阑尾炎复发率为20.4%(11/54)。结论 EyeMax洞察胆胰管成像系统辅助ERAT是治疗非复杂性阑尾炎安全和有效的疗法,其具有直视下精准操作、保留阑尾功能、症状快速缓解、无X线暴露和精准诊疗阑尾病变等优势。值得应用于临床。

      • 0+1
      • 1+1
      • 2+1
      • 3+1
      • 4+1
      • 5+1
      • 6+1
      • 7+1
      • 8+1
      • 9+1
      • 10+1

当期目录


年第卷第

文章目录

过刊浏览

年份

刊期

点击排行

引用排行

下载排行

中国内镜杂志声明
关闭