• 2026年第32卷第1期文章目次
    全 选
    显示方式: |
    • >论 著
    • 肥胖症患者行腹腔镜袖状胃切除术中应用环泊酚与丙泊酚行全身麻醉诱导的安全性对比研究

      2026, 32(1):1-9. DOI: 10.12235/E20250378

      摘要 (135) HTML (113) PDF 836.39 K (93) 评论 (0) 收藏

      摘要:目的 比较接受腹腔镜袖状胃切除术(LSG)的肥胖症患者,其采用环泊酚和丙泊酚行全身麻醉诱导的安全性。方法 选取2021年1月-2023年12月于该院开展LSG的肥胖症患者170例,采用随机数表法将患者分为环泊酚组和丙泊酚组,各85例。两组均给予相同镇静(右美托咪定)、镇痛(瑞芬太尼)和肌松药物(顺阿曲库铵),环泊酚组诱导期静脉给予环泊酚0.40 mg/kg,丙泊酚组同期静脉给予丙泊酚2.00 mg/kg。比较两组患者术后2 d低分钟通气量的发生率;比较两组患者诱导前(T0)、插管后(T1)、拔管前(T2)和拔管后(T3)的平均动脉压(MAP)、心率(HR)和经皮动脉血氧饱和度(SpO2);比较两组患者诱导时间、手术时间、苏醒时间、离开麻醉恢复室(PACU)时间、诱导插管期间不良反应的情况,以及术后首次下床活动时间、术后首次排气时间和住院时间;比较两组患者术后6、12和24 h的疼痛视觉模拟评分法(VAS)评分。结果 环泊酚组术后2 d的低分钟通气量的发生率为32.94%,明显高于丙泊酚组的10.59%,差异有统计学意义(P < 0.05)。环泊酚组T1和T2时点的MAP分别为(98.49±6.88)和(99.87±10.02)mmHg,明显低于丙泊酚组的(104.81±11.09)和(105.07±11.56)mmHg,差异均有统计学意义(P < 0.05);环泊酚组T1、T2和T3时点的HR分别为(89.18±13.21)、(88.47±12.84)和(76.96±11.42)次/min,明显低于丙泊酚组的(95.80±12.86)、(96.07±15.09)和(86.43±10.43)次/min,差异均有统计学意义(P < 0.05);环泊酚组T2时点的MAP明显高于T0时点,T1和T2时点的HR高于T0时点,差异均有统计学意义(P < 0.05);丙泊酚组T1和T2时点的MAP明显高于T0时点,T3时点的MAP明显低于T0时点,T1、T2和T3时点的HR明显高于T0时点,T3时点的SpO2明显低于T0时点,差异均有统计学意义(P < 0.05)。环泊酚组T3时点的SpO2为(99.70±0.61)%,明显高于丙泊酚组的(97.13±1.55)%,差异有统计学意义(P < 0.05)。环泊酚组诱导时间为(70.45±4.74)min,明显短于丙泊酚组的(75.07±4.23)min;丙泊酚组苏醒时间为(30.00±13.97)min,明显短于丙泊酚组的(40.00±13.64)min;环泊酚组离开PACU时间为(40.00±13.00)min,明显短于丙泊酚组的(47.63±13.33)min;环泊酚组住院时间为(10.14±1.58)d,明显短于丙泊酚组的(11.56±1.84)d;环泊酚组术后首次排气时间为(28.64±4.31)h,明显短于丙泊酚组的(36.20±5.16)h,差异均有统计学意义(P < 0.05)。两组患者术后6、12和24 h的VAS评分比较,差异均无统计学意义(P > 0.05)。环泊酚组的不良反应发生率为5.88%,明显低于丙泊酚组的11.76%,差异有统计学意义(P < 0.05)。结论 与丙泊酚相比,在肥胖症患者LSG中采用环泊酚实施麻醉诱导,可加强术中血流动力学的稳定性,还可缩短诱导时间、苏醒时间、离开PACU时间和住院时间,降低不良反应的发生率。值得临床推广应用。

    • 术前口服碳水化合物电解质液对无痛结肠镜检查患者舒适度和胃容量的影响

      2026, 32(1):10-18. DOI: 10.12235/E20250201

      摘要 (74) HTML (42) PDF 807.53 K (85) 评论 (0) 收藏

      摘要:目的 观察术前口服碳水化合物电解质液对无痛结肠镜检查患者舒适度和胃容量的影响。方法 选择2024年7月-2024年12月该院拟行择期无痛结肠镜检查的患者120例,采用随机数表法将患者分为观察组(口服碳水化合物电解质液组)和对照组,各60例。记录检查相关情况[胃窦横截面积(CSA)、胃容量、下腔静脉塌陷指数(IVC-CI)和结肠镜检查时间]。记录检查开始时(T1)、检查结束时(T2)和离院时(T3)的平均动脉压(MAP)、心率(HR)和经皮动脉血氧饱和度(SpO2)。记录所有患者检查前2 h(T0)、T1和T3时点的口渴及饥饿视觉模拟评分法(VAS)评分、腹胀程度(李克特评分)和焦虑自评量表(SAS)评分。记录苏醒时间、麻醉复苏室(PACU)停留时间、离院时Christensen疲劳评分和满意度评分。记录血管活性药物使用情况和液体输注量。观察低血压、心动过缓和胃肠道症状等不良事件发生情况。结果 T1时点,两组患者CSA和胃容量比较,差异均无统计学意义(P > 0.05);观察组IVC-CI明显低于对照组,差异有统计学意义(P < 0.05)。两组患者结肠镜检查时间比较,差异无统计学意义(P > 0.05)。两组患者T1时点MAP和HR比较,T1、T2和T3时点SpO2比较,差异均无统计学意义(P > 0.05);观察组T2和T3时点MAP和HR明显高于对照组,差异均有统计学意义(P < 0.05)。与T0时点比较,对照组T1和T3时点的口渴及饥饿VAS评分、SAS评分和李克特评分明显升高;观察组T1和T3时点的口渴及饥饿VAS评分和SAS评分明显降低,李克特评分明显升高,差异均有统计学意义(P < 0.05)。观察组T1和T3时点的口渴及饥饿VAS评分、SAS评分和李克特评分明显低于对照组,差异均有统计学意义(P < 0.05)。观察组去氧肾上腺素和阿托品使用量明显少于对照组,PACU停留时间明显短于对照组,离院时Christensen疲劳评分明显低于对照组,患者满意度评分明显高于对照组,差异均有统计学意义(P < 0.05);两组患者液体输注量和麻醉苏醒时间比较,差异均无统计学意义(P > 0.05)。观察组低血压、心动过缓、恶心呕吐和腹痛发生率明显低于对照组,差异均有统计学意义(P < 0.05)。结论 结肠镜检查患者在检查前2 h口服碳水化合物电解质液,可明显减轻围手术期口渴、饥饿和腹胀程度,缓解焦虑,提高患者满意度,患者血流动力学稳定,术后恢复时间短,可缓解术后疲劳。值得临床推广应用。

    • 关节镜技术联合钉中钉系统全内修复跟骨关节内骨折的临床疗效观察

      2026, 32(1):19-25. DOI: 10.12235/E20250392

      摘要 (74) HTML (35) PDF 2.90 M (82) 评论 (0) 收藏

      摘要:目的 探讨关节镜技术联合钉中钉系统全内修复跟骨关节内骨折的临床疗效。方法 回顾性分析2021年5月-2024年4月该院骨与关节康复科收治,并获得随访的31例闭合性跟骨关节内骨折患者的临床资料。均采取关节镜技术联合钉中钉系统全内修复手术治疗方案。术前及术后均行跟骨侧轴位X线片及足部CT检查,根据影像学结果对骨折类型进行分型,并评价术后骨折复位情况。比较手术前后跟骨高度、宽度、Bohler角和Gissane角。记录术前等待时间、手术时间、术中出血量、住院时间、术后疼痛视觉模拟评分法(VAS)评分等围手术期相关指标及术后并发症发生情况。采用美国足踝外科协会(AOFAS)评分和Maryland足部评分评估临床疗效。结果 术后影像学检查,可见跟骨术后关节面塌陷骨块复位;跟骨高度明显高于术前,跟骨宽度明显窄于术前,Bohler角较术前明显增大,Gissane角较术前明显缩小,差异均有统计学意义(P < 0.05)。术前等待时间为6(4,7)d,手术时间为(188.77±39.53)min,术中出血量为(59.03±23.00)mL,住院时间为(16.49±4.04)d,术后疼痛VAS评分为2(1,2)分,AOFAS评分为92(90,95)分,Maryland评分为92(90,95)分。结论 采用关节镜技术联合钉中钉系统全内修复跟骨骨折,具有可早期开展手术、创伤小、直视下复位、固定可靠和无切口相关并发症等优点,适用于Sanders Ⅱ型和Ⅲ型跟骨骨折。值得应用于临床。

      • 0+1
      • 1+1
      • 2+1
      • 3+1
      • 4+1
      • 5+1
      • 6+1
      • 7+1
      • 8+1
      • 9+1
      • 10+1
      • 11+1
      • 12+1
      • 13+1
      • 14+1
      • 15+1
      • 16+1
      • 17+1
      • 18+1
      • 19+1
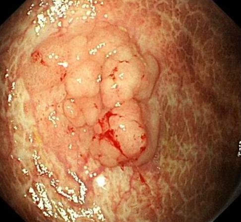
    • 结直肠腺瘤住院患者胃镜检查的临床资料分析(附1 052例报告)

      2026, 32(1):26-34. DOI: 10.12235/E20250190

      摘要 (73) HTML (77) PDF 1.93 M (83) 评论 (0) 收藏

      摘要:目的 分析1 052例结直肠腺瘤住院患者行胃镜检查的资料,以期为结直肠腺瘤患者上消化道黏膜病变的早期发现和治疗提供参考依据。方法 回顾性分析2023年1月1日-2023年12月31日在九江学院附属医院消化内科住院的1 052例结直肠腺瘤患者的临床资料,分析患者临床表现、结肠镜结果、胃镜结果和疾病类型分布。结果 1 052例患者均伴随消化不良、胃肠道功能异常、胃食管反流和消化道出血症状,均检查出上消化道黏膜疾病,检出率为100.00%,192例(18.25%)患者只有1个胃镜诊断结果,860例(81.75%)患者有2个或2个以上诊断结果。共检出1 881处病变,以胃黏膜病变为主,其次为食管黏膜病变和十二指肠黏膜病变。前三检出疾病分别为:慢性非萎缩性胃炎932处,胃黏膜糜烂和/或胃肠上皮化生344处,以及胃息肉219处。不同性别疾病类型分布特点:大部分男性食管黏膜病变、胃黏膜病变和十二指肠黏膜病变占比高于女性,男性食管炎占比高于女性;不同年龄段疾病类型分布特点:年龄 > 45岁的患者胃息肉增多;Kaplan-Meier生存曲线显示,与未行胃镜检查的结直肠腺瘤患者相比,行胃镜检查的结直肠腺瘤患者无复发时间更长(HR^ = 13.103,95%CI:6.589~26.057,P < 0.01)。结论 结直肠腺瘤患者建议行胃镜检查,以明确是否存在上消化道黏膜疾病。 > 45岁和男性为高风险人群,建议定期检查,通过早期发现和治疗,预防此类人群上消化道黏膜病变的发生。

      • 0+1
      • 1+1
      • 2+1
      • 3+1
      • 4+1
      • 5+1
      • 6+1
      • 7+1
      • 8+1
      • 9+1
      • 10+1
      • 11+1
      • 12+1
      • 13+1
      • 14+1
      • 15+1
      • 16+1
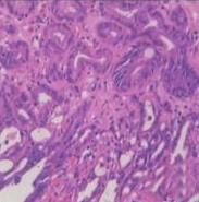
    • 色素内镜和窄带成像技术联合放大内镜对早期结直肠癌及癌前病变的诊断价值研究

      2026, 32(1):35-41. DOI: 10.12235/E20250020

      摘要 (92) HTML (29) PDF 5.33 M (93) 评论 (0) 收藏

      摘要:目的 探究色素内镜(CE)和窄带成像技术(NBI)联合放大内镜(ME)对早期结直肠癌及癌前病变的诊断价值研究。方法 选取2023年8月-2024年7月于该院接受检查的疑似早期结直肠癌及癌前病变的患者160例。采用四格表法,分析NBI-ME和CE-ME检测早期结直肠癌及癌前病变的敏感度、特异度和准确度;采用Kappa一致性检验,分析CE-ME和NBI-ME诊断早期结直肠癌及癌前病变与病理检查的一致性。结果 病理结果显示,良性病变52例,癌前病变90例,结直肠癌18例。CE-ME检测结果显示,良性病变43例,癌前病变101例,结直肠癌16例,漏诊率为33.33%;CE-ME诊断早期结直肠癌及癌前病变与病理检查的一致性中度(Kappa = 0.605,P < 0.01),敏感度为66.67%,特异度为97.18%,准确度为93.75%。NBI-ME检查结果显示,良性病变43例,癌前病变100例,结直肠癌17例,漏诊率为16.67%,NBI-ME诊断早期结直肠癌及癌前病变与病理检查的一致性较高(Kappa = 0.714,P < 0.01),敏感度为88.33%,特异度为98.59%,准确度为96.88%。CE-ME与NBI-ME两者联合检查结果显示,良性病变56例,癌前病变86例,结直肠癌18例,漏诊率为5.56%,两者联合诊断早期结直肠癌及癌前病变与病理检查的一致性极高(Kappa = 0.857,P < 0.01),敏感度为94.44%,特异度为99.30%,准确度为98.75%,高于CE-ME和NBI-ME单独检查。结论 CE和NBI联合ME对早期结直肠癌及癌前病变具有较高的诊断价值。值得应用于临床。

      • 0+1
      • 1+1
      • 2+1
      • 3+1
      • 4+1
      • 5+1
      • 6+1
      • 7+1
      • 8+1
    • 腹腔镜楔形切除术与胃壁浆肌层环形切开联合黏膜外剥离术治疗贲门区胃间质瘤的疗效对比

      2026, 32(1):42-48. DOI: 10.12235/E20250238

      摘要 (79) HTML (35) PDF 1.62 M (87) 评论 (0) 收藏

      摘要:目的 比较腹腔镜下楔形切除术与胃壁浆肌层环形切开联合黏膜外剥离术治疗贲门区胃间质瘤的安全性及有效性。方法 回顾性分析2017年1月-2021年12月于该院接受腹腔镜手术的35例贲门区胃间质瘤患者(肿瘤直径2.0~5.0 cm)的临床资料,根据不同术式,将患者分为楔形切除术组(n = 18)和胃壁浆肌层环形切开联合黏膜外剥离术组(n = 17)。比较两组患者围手术期指标(手术时间、术中出血量和中转行扩大手术率、住院时间、住院费用和炎症指标)、术后胃肠功能恢复情况(术后首次排便时间)、并发症和肿瘤学结局(术后3年复发转移情况)。结果 所有患者术后病理均证实切缘为阴性,达到了R0切除。胃壁浆肌层环形切开联合黏膜外剥离术组的手术时间为(115.00±21.14)min,明显长于楔形切除术组的(94.81±17.51)min;胃壁浆肌层环形切开联合黏膜外剥离术组的术中出血量为[10.0(7.5,15.0)]mL,明显少于楔形切除术组的[17.5(10.0,20.0)]mL,差异均有统计学意义(P < 0.05)。胃壁浆肌层环形切开联合黏膜外剥离术组住院费用为(26 888.88±1 912.76)元,明显少于楔形切除术组的(28 741.78±1 377.32)元;胃壁浆肌层环形切开联合黏膜外剥离术组的术后C反应蛋白为(62.13±5.85)mg/L,明显低于楔形切除术组的(69.37±8.45)mg/L;胃壁浆肌层环形切开联合黏膜外剥离术组白细胞为(11.10±0.64)×109/L,明显低于楔形切除术组的(11.83±0.87)×109/L,差异均有统计学意义(P < 0.05)。两组患者中转行扩大手术率、术后首次排便时间、住院时间和并发症发生率比较,差异均无统计学意义(P > 0.05)。术后随访3年,两组患者均无复发或转移病例。结论 腹腔镜下楔形切除术与胃壁浆肌层环形切开联合黏膜外剥离术治疗贲门区胃间质瘤的远期疗效相当。虽然楔形切除术的操作时间较短,但是术中出血量较多,中转行扩大手术率的风险和费用较高;胃壁浆肌层环形切开加黏膜外剥离术具有出血少、术后炎症反应轻和住院费用低等优势,整体更具临床应用价值。

      • 0+1
      • 1+1
      • 2+1
      • 3+1
      • 4+1
      • 5+1
      • 6+1
      • 7+1
      • 8+1
    • 胸腔镜肺段切除术后基于8 h胸腔引流量早期拔管的安全性与可行性研究

      2026, 32(1):49-54. DOI: 10.12235/E20250191

      摘要 (46) HTML (25) PDF 749.79 K (52) 评论 (0) 收藏

      摘要:目的 探讨胸腔镜肺段切除术后根据连续8 h胸腔引流量(PDV)拔除胸腔引流管的可行性和安全性。方法 回顾性分析2022年7月1日-2024年6月30日于该院接受胸腔镜肺段切除术的360例肺结节患者的临床资料。根据8 h PDV拔除胸腔引流管的患者设为8 h组(173例),根据24 h PDV拔除胸腔引流管的患者设为24 h组(187例)。比较两组患者手术相关情况和术后并发症。结果 两组患者手术肺叶、手术时间、术中出血量、清扫淋巴结站数、清扫淋巴数量和术后病理比较,差异均无统计学意义(P > 0.05)。8 h组术后胸腔引流管留置时间和术后住院时间明显短于24 h组,差异均有统计学意义(P < 0.05)。两组患者再次引流率和切口愈合不良率比较,差异均无统计学意义(P > 0.05)。结论 胸腔镜肺段切除术后,根据8 h PDV拔除胸腔引流管是安全的,具有一定可行性。与传统的根据24 h PDV拔除胸腔引流管方案相比,该方法可更早地拔除胸腔引流管,缩短住院时间。值得临床推广应用。

      • 0+1
      • 1+1
    • 耳内镜下软骨-软骨膜复合体用于慢性化脓性中耳炎合并耳真菌病鼓室成形术的疗效分析

      2026, 32(1):55-61. DOI: 10.12235/E20240777

      摘要 (44) HTML (13) PDF 2.20 M (55) 评论 (0) 收藏

      摘要:目的 探讨慢性化脓性中耳炎合并耳真菌病患者行耳内镜下软骨-软骨膜复合体鼓室成形术的临床疗效。方法 选取2021年1月-2023年12月该院收治的,于耳内镜下采用耳屏软骨-软骨膜复合体行鼓室成形术的慢性化脓性中耳炎患者68例,根据是否合并过耳真菌病,将患者分为真菌组和对照组,各34例。真菌组术前合并耳真菌病,均行抗真菌治疗后好转,其中18例合并湿耳;对照组未曾合并过耳真菌病,术前均为干耳。所有患者均接受了耳内镜下鼓室成形术,采用软骨-软骨膜复合体修复穿孔。术后随访至少3个月。于术前和术后3个月,检查纯音听力。观察两组患者鼓膜修补成功率、听力改善情况和干耳时间。结果 真菌组和对照组的鼓膜修补成功率分别为88.24%(30/34)和91.18%(31/34),差异无统计学意义(P > 0.05);两组患者术后3个月气骨导间距明显小于术前,差异有统计学意义(P < 0.05);但两组间比较,差异无统计学意义(P > 0.05);真菌组干耳时间长于对照组,差异有统计学意义(P < 0.05)。结论 慢性化脓性中耳炎合并耳真菌病有时伴有湿耳,患者需要更长的时间来达到完全健康的状态,使用软骨-软骨膜复合体的耳内镜下鼓室成形术,是治疗慢性化脓性中耳炎合并耳真菌病患者的有效方法。值得应用于临床。

      • 0+1
      • 1+1
      • 2+1
      • 3+1
      • 4+1
      • 5+1
      • 6+1
      • 7+1
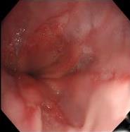
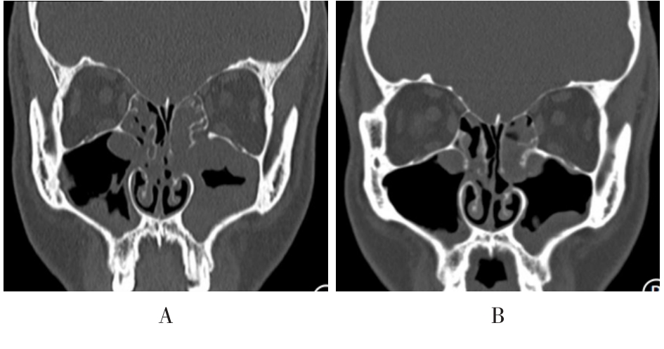
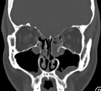
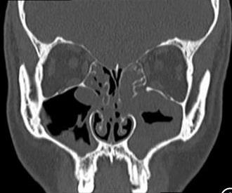
    • 术前规范化药物治疗对鼻内镜下慢性鼻窦炎伴鼻息肉患者术后鼻黏膜重塑的影响

      2026, 32(1):62-75. DOI: 10.12235/E20240757

      摘要 (46) HTML (19) PDF 1.19 M (48) 评论 (0) 收藏

      摘要:目的 探讨术前规范化药物治疗对鼻内镜下慢性鼻窦炎(CRS)伴鼻息肉(CRSwNP)患者术后鼻黏膜重塑的影响。方法 选取2022年1月-2023年6月该院收治的CRSwNP患者80例,根据随机数表法将患者分为观察组(n = 40)和对照组(n = 40),对照组给予功能性鼻内镜手术治疗,观察组在对照组的基础上给予术前规范化药物综合治疗。比较两组患者鼻腔黏液纤毛清除功能、鼻功能和鼻黏膜重塑变化;采用广义估计方程(GEE)模型,分析其改善情况;采用多元线性回归模型,分析其与各评分之间的关系;采用双重差分模型,分析治疗效果。结果 两组患者组内不同时点(治疗前、治疗后3个月和治疗后6个月)的糖精清除时间、鼻黏液纤毛清除率、黏液纤毛清除速率、鼻腔容积(NCV)、鼻腔最小横截面积(NMCA)、最小横截面积距前鼻孔距离(DCAN)、嗜酸性粒细胞(EOS)、转化生长因子β1(TGF-β1)和血管内皮细胞生长因子(VEGF)水平比较,差异均有统计学意义(F = 124.36,P = 0.000;F = 113.58,P = 0.000;F = 98.67,P = 0.000;F = 87.37,P = 0.000;F = 107.26,P = 0.000;F = 77.45,P = 0.000;F = 3.80,P = 0.008;F = 2.56,P = 0.012;F = 2.13,P = 0.015);观察组治疗后3和6个月糖精清除时间较对照组短,鼻黏液纤毛清除率较对照组高,黏液纤毛清除速率较对照组快,NCV和NMCA较对照组大,DCAN较对照组短,EOS、TGF-β1和VEGF水平较对照组低,差异均有统计学意义(F = 44.36,P = 0.000;F = 38.23,P = 0.000;F = 30.44,P = 0.000;F = 27.33,P = 0.000;F = 36.11,P = 0.000;F = 22.00,P = 0.000;F = 2.44,P = 0.014;F = 1.89,P = 0.017;F = 1.75,P = 0.021);两组患者糖精清除时间、鼻黏液纤毛清除率、黏液纤毛清除速率、NCV、NMCA、DCAN、EOS、TGF-β1和VEGF水平变化趋势比较,差异均有统计学意义(F = 18.33,P = 0.000;F = 15.78,P = 0.000;F = 13.00,P = 0.000;F = 8.17,P = 0.002;F = 10.23,P = 0.000;F = 4.34,P = 0.004;F = 2.89,P = 0.013;F = 1.67,P = 0.022;F = 1.43,P = 0.031)。GEE分析结果显示,观察组鼻黏液纤毛清除率、黏液纤毛清除速率、NMCA、NCV、DCAN和糖精清除时间的改善情况明显优于对照组,差异均有统计学意义(P < 0.05);治疗后6个月,两组患者Lund-Kennedy评分、Lund-Mackay评分和鼻腔鼻窦结局测试-20(SNOT-20)评分明显低于术前,且观察组明显低于对照组,差异均有统计学意义(P < 0.05);多元线性回归模型分析结果显示,糖精清除时间、DCAN、EOS、TGF-β1、VEGF水平、鼻黏液纤毛清除率、黏液纤毛清除速率、NCV和NMCA与Lund-Kennedy评分、Lund-Mackay评分和SNOT-20量表评分密切相关(P < 0.05)。双重差分模型结果显示,观察组Lund-Kennedy评分、Lund-Mackay评分和SNOT-20量表评分的改善情况明显优于对照组。观察组总有效率为92.50%,明显高于对照组的75.00%,差异均有统计学意义(P < 0.05)。结论 在鼻内镜术前采用规范化药物治疗,可以有效地促进CRSwNP患者鼻黏膜修复,抑制术后鼻腔重塑,且疗效较好,值得临床推广应用。

      • 0+1
      • 1+1
      • 2+1
      • 3+1
      • 4+1
      • 5+1
      • 6+1
      • 7+1
      • 8+1
      • 9+1
      • 10+1
      • 11+1
      • 12+1
      • 13+1
    • >临床研究
    • 纤维鼻咽镜下经环甲膜声带肉毒毒素注射治疗喉痉挛性构音障碍的应用效果

      2026, 32(1):76-79. DOI: 10.12235/E20250188

      摘要 (45) HTML (12) PDF 982.68 K (52) 评论 (0) 收藏

      摘要:目的 探讨纤维鼻咽镜下经环甲膜声带肉毒毒素注射治疗喉痉挛性构音障碍(SD)的临床疗效。方法 回顾性分析2022年12月-2024年12月于该院收治的17例SD患者的临床资料,观察患者A型肉毒毒素注射情况和并发症发生情况。结果 纤维鼻咽镜进入鼻腔时,2例(11.8%)患者发现一侧鼻腔严重狭窄,改由对侧鼻腔后顺利插入。在纤维鼻咽镜引导下,注射针经环甲膜穿刺进入喉腔,对双侧声带分别注射2 u的A型肉毒毒素。在注射过程中,3例(17.6%)患者出现严重呛咳,重复给予丁卡因表面麻醉后缓解;2例(11.8%)患者由于咳嗽和声带活动,出现注射针头脱落和药液部分滴漏,调整针头角度后,将剩余药液注入声带。整体操作时间0.43~0.68 h,平均0.58 h。注射后1~12 d,平均3.5 d,患者发音恢复正常,3例患者出现饮水呛咳,3例声嘶,3至4 d后缓解。结论 纤维鼻咽镜引导下经环甲膜声带肉毒毒素注射,操作方便,治疗SD的临床疗效好。值得临床推广应用。

      • 0+1
      • 1+1
      • 2+1
    • 内镜诊断和治疗十二指肠黏膜下恒径动脉破裂出血并活动性出血的价值(附6例报告)

      2026, 32(1):80-83. DOI: 10.12235/E20250357

      摘要 (39) HTML (37) PDF 1.21 M (63) 评论 (0) 收藏

      摘要:目的 探讨内镜诊断和治疗十二指肠黏膜下恒径动脉破裂出血并活动性出血的价值。方法 回顾性分析2015年6月-2023年1月该院经内镜确诊十二指肠黏膜下恒径动脉破裂出血并活动性出血的6例患者的临床资料。总结临床表现、内镜下特征和治疗转归。结果 于24 h内完成急诊内镜检查,证实6例均为单纯十二指肠黏膜下恒径动脉破裂出血,并成功行内镜下钛夹止血治疗。结论 内镜诊断十二指肠黏膜下恒径动脉破裂出血所致的大出血,具有较高的价值。此外,于内镜下及时采取积极、有效的干预措施,可快速止血,降低死亡率。值得应用于临床。

      • 0+1
      • 1+1
      • 2+1
      • 3+1
    • 经皮经胆道镜激光消融术与光动力疗法治疗胆管黏液性囊性肿瘤的临床疗效及治疗技巧

      2026, 32(1):84-88. DOI: 10.12235/E20250025

      摘要 (42) HTML (38) PDF 1.39 M (63) 评论 (0) 收藏

      摘要:目的 探讨经皮经胆道镜激光消融术与光动力疗法(PDT)治疗胆管黏液性囊性肿瘤的临床疗效及治疗技巧。方法 回顾性分析2018年1月-2023年12月该院消化内科收治的13例胆管黏液性囊性肿瘤患者的临床资料,采取经皮经胆道镜激光消融术、PDT治疗或两者联合治疗。观察患者手术相关情况、病灶情况、引流情况、术后6个月生存情况和并发症发生情况。结果 所有患者均顺利完成经皮经胆道镜激光消融、PDT或两者联合治疗,治疗成功率为100%。所有患者术后体温恢复正常。7例患者术后1周内黄疸明显减退,其余6例黄疸虽然未明显减退,但血清总胆红素有所下降或保持稳定。所有患者术后1周内,胆管各分支新生物减少,病灶明显缩小。术后早期(30 d内),所有患者引流管均保持通畅,未发生因肿瘤组织脱落或坏死物堵塞所导致的急性堵管事件。术后引流管留置时间平均为4.2个月。术后6个月,无死亡病例,术后6个月生存率为100%。未发生胆道穿孔和大出血等严重并发症。结论 经皮经胆道镜激光消融术联合PDT治疗胆管黏液性囊性肿瘤,可以缩小病灶范围,缓解胆道梗阻,提高患者生活质量,且并发症少。值得临床推广应用。

      • 0+1
      • 1+1
      • 2+1
      • 3+1
      • 4+1
      • 5+1
      • 6+1

当期目录


年第卷第

文章目录

过刊浏览

年份

刊期

点击排行

引用排行

下载排行

中国内镜杂志声明
关闭