• 2025年第31卷第9期文章目次
    全 选
    显示方式: |
    • >论 著
    • 环泊酚复合瑞芬太尼用于无痛纤维支气管镜检查的临床疗效分析

      2025, 31(9):1-8. DOI: 10.12235/E20250085

      摘要 (173) HTML (65) PDF 831.98 K (86) 评论 (0) 收藏

      摘要:目的 探讨环泊酚与瑞芬太尼联合应用于无痛纤维支气管镜检查,对苏醒质量和炎症反应的影响。方法 选取2023年10月-2024年10月于该院行无痛纤维支气管镜检查的患者90例,随机分为环泊酚联合瑞芬太尼组(观察组)和丙泊酚联合瑞芬太尼组(对照组),各45例。采用脑电双频指数(BIS)监测麻醉深度。比较两组患者入室时(T0)、置入喉罩即刻(T1)、镜身进入气管隆突时(T2)、检查结束时(T3)和拔除喉罩后5 min(T4)的血流动力学指标和BIS变化情况。比较两组患者纤维支气管镜检查时间、完成指令动作时间、纤维支气管镜检查前后恢复质量-40量表(QoR-40)评分、血清炎症因子水平和不良反应发生情况。结果 观察组T4时点的血清肿瘤坏死因子-α(TNF-α)、白细胞介素-1β(IL-1β)和白细胞介素-6(IL-6)表达水平明显低于对照组,差异均有统计学意义(P < 0.05);两组患者T0、T1、T2、T3和T4时点的BIS比较,差异均无统计学意义(P > 0.05),对照组T1时点的平均动脉压(MAP)明显低于观察组,差异有统计学意义(P < 0.05);两组患者纤维支气管镜检查时间和完成指令动作时间比较,差异均无统计学意义(P > 0.05);两组患者T0时点的QoR-40评分比较,差异均无统计学意义(P > 0.05);T4时点,观察组QoR-40评分中身体舒适度、情绪状态和总分明显高于对照组,差异均有统计学意义(P < 0.05);两组均未发生严重不良反应,对照组低血压发生率为22.2%,明显高于观察组的4.4%,差异有统计学意义(P < 0.05),经补液和适当使用血管活性药物后得到缓解,观察组注射痛发生率明显低于对照组,差异有统计学意义(P < 0.05)。结论 环泊酚与瑞芬太尼联合应用于无痛纤维支气管镜检查是安全、有效的,且镇静和镇痛效果好,患者血流动力学稳定,无明显注射痛,能有效地降低炎症因子水平,提高早期苏醒质量和患者舒适度。值得应用于临床。

      • 0+1
      • 1+1
      • 2+1
      • 3+1
      • 4+1
      • 5+1
    • 术前磁共振成像指标对肩袖全层撕裂患者行关节镜下肩袖修补手术后疗效的预测价值分析

      2025, 31(9):9-16. DOI: 10.12235/E20250268

      摘要 (134) HTML (152) PDF 1.69 M (108) 评论 (0) 收藏

      摘要:目的 分析术前磁共振成像(MRI)指标对肩袖全层撕裂(FTRCT)患者行关节镜下肩袖修补手术(ARCR)后疗效的预测价值。方法 选择2020年1月-2023年12月该院收治的451例FTRCT患者,均接受ARCR治疗,回顾性分析患者的临床资料,随访1年,依据上肢功能障碍评定量表(DASH)评分,将患者分为肩关节功能改善组(n = 415)与肩关节功能未改善组(n = 36)。比较两组患者术前MRI指标和临床指标,采用多因素Logistic回归模型,分析FTRCT患者行ARCR后疗效的影响因素,绘制受试者操作特征曲线(ROC curve),分析术前MRI指标单独检测及联合检测,对FTRCT患者行ARCR后疗效的预测价值。结果 451例行ARCR的FTRCT患者,术后随访1年分析其疗效,肩关节功能未改善发生率为7.98%。与肩关节功能改善组比较,肩关节功能未改善组术前肌腱撕裂宽度和肌腱回缩距离更长,肌腱退变程度更高,肩峰肱骨间隙更短(P < 0.05)。相较于肩关节功能改善组,肩关节功能未改善组年龄更大(P < 0.05)。多因素Logistic回归分析结果显示,肩峰肱骨间隙 ≤ 7.15 mm(OR^ = 2.20895%CI:1.255~3.883)、肌腱退变程度2级至3级(OR^ = 1.81795%CI:1.066~3.096)、肌腱撕裂宽度 > 2.16 cm(OR^ = 2.24695%CI:1.242~4.059)和肌腱回缩距离 > 2.10 cm(OR^ = 2.18695%CI:1.311~3.646)为FTRCT患者行ARCR后肩关节功能未改善的危险因素(P < 0.05)。将肩关节功能未改善纳入阳性,肩关节功能改善纳入阴性,绘制ROC curve,分析术前MRI指标联合检测对FTRCT患者行ARCR后疗效的预测价值,曲线下面积(AUC)为0.903,敏感度为86.11%,特异度为87.47%。结论 FTRCT患者行ARCR后疗效较好,肌腱撕裂宽度 > 2.16 cm、肌腱回缩距离 > 2.10 cm、肌腱退变程度2级至3级和肩峰肱骨间隙 ≤ 7.15 mm为其疗效不良的危险因素,术前MRI指标联合检测的预测价值较高。

      • 0+1
      • 1+1
      • 2+1
      • 3+1
      • 4+1
    • 高血压脑出血患者神经内镜颅内血肿清除术后大脑环池受压和形态分级与预后的关系

      2025, 31(9):17-28. DOI: 10.12235/E20240619

      摘要 (140) HTML (73) PDF 909.45 K (85) 评论 (0) 收藏

      摘要:目的 探究高血压脑出血(HCH)患者神经内镜颅内血肿清除术(NEIHE)后大脑环池受压程度和形态分级与预后的关系。方法 选择2020年1月-2023年6月于该院接受NEIHE治疗的HCH患者246例。根据术后6个月格拉斯哥预后评分(GOS),将患者分为预后良好组(n = 158)和预后不良组(n = 88)。采用分层回归模型,分析临床病理特征与大脑环池受压程度和形态分级的关系。采用多因素Logistic回归模型,分析影响HCH患者NEIHE后预后不良的独立危险因素,并构建预测模型。以预后不良为结局变量,绘制受试者操作特征曲线(ROC curve)。比较不同预测模型的曲线下面积(AUC)、综合判别改善指数(IDI)和净重新分类指数(NRI)。采用Hosmer-Lemeshow拟合优度检验判断模型的拟合优度。采用广义相加模型(GAM),分析GOS与相关影响因素的关系。结果 与预后良好组相比,预后不良组术前出血量更多,术前格拉斯哥昏迷评分(GCS)更低,中线偏移、高血压病史 ≥ 10年、出血破入脑室、手术时机在晚期的患者占比更高,差异均有统计学意义(P < 0.05)。与预后良好组相比,预后不良组血肿同侧及对侧大脑环池受压3至4分和大脑环池形态分级为Ⅴ级的患者占比更高,差异均有统计学意义(P < 0.05)。分层回归分析显示,出血部位、中线偏移和颅内压对大脑环池受压程度及形态分级有影响,差异均有统计学意义(P < 0.05)。多因素Logistic回归分析(模型2:包含大脑环池受压程度和形态分级)结果显示,中线偏移、高血压病史 ≥ 10年、术前出血量 > 37 mL、出血破入脑室、术前GCS < 7分、手术时机晚期、大脑环池受压程度(血肿同侧3至4分,血肿对侧3至4分)和形态分级Ⅴ级,是影响HCH患者NEIHE后预后不良的独立危险因素(P < 0.05)。模型1(不包含大脑环池受压程度和形态分级)加入大脑环池受压程度和形态分级后,AUC提高到0.812(95%CI:0.763~0.872),且模型的IDI(0.081,95%CI:0.049~0.095)和NRI(0.611,95%CI:0.510~0.674)提高,差异均有统计学意义(P < 0.05)。与模型1比较,模型2的AUC(0.826,95%CI:0.771~0.863)、IDI(0.085,95%CI:0.052~0.110)和NRI(0.628,95%CI:0.510~0.709)提高,差异均有统计学意义(P < 0.05)。Hosmer-Lemeshow检验显示,预后不良预测模型2(P = 0.878)较模型1(P = 0.691)的拟合优度更理想。GAM分析显示,大脑环池受压程度越严重和形态分级越高,GOS评分越低,差异有统计学意义(P < 0.05)。ROC curve分析显示,大脑环池受压程度和形态分级联合应用,对预后不良的预测价值较高,AUC为0.935(95%CI:0.890~0.971),敏感度为70.26%,特异度为93.84%。结论 HCH患者NEIHE后大脑环池受压程度和形态改变与预后密切相关,且联合应用对预后不良具有一定的预测价值。出血部位、中线偏移和颅内压等因素,明显影响大脑环池受压程度和形态改变。

      • 0+1
      • 1+1
      • 2+1
      • 3+1
      • 4+1
    • 无充气腋窝入路腔镜行单侧甲状腺叶切除术手术时间和并发症的影响因素分析

      2025, 31(9):29-39. DOI: 10.12235/E20240365

      摘要 (121) HTML (66) PDF 798.46 K (92) 评论 (0) 收藏

      摘要:目的 探究影响无充气腋窝入路腔镜行单侧甲状腺叶切除术手术时间和并发症的因素。方法 连续收集2022年12月-2023年11月该院头颈外二科203例在无充气式经腋窝入路腹腔镜下行单侧甲状腺叶切除术患者的临床资料,并进行分析。结果 性别、BMI、TG、腺叶体积、病灶数目和肿瘤良恶性会影响手术时间。其中,男性、BMI > 19.45 kg/m2和腺叶体积 > 9.25 mL是影响手术时间的独立危险因素(P < 0.05)。TG和肿瘤最大径会影响早期并发症的发生,但无独立危险因素。结论 BMI ≤ 19.45 kg/m2,且腺叶体积≤9.25 mL(术前可通过3D slicer测量)的女性患者,相对手术难度较低,可能更适合初学者学习。

    • 血清白细胞介素-17和可溶性血红蛋白清道夫受体163对结直肠癌患者腹腔镜术后发生早期吻合口瘘的预测价值

      2025, 31(9):40-47. DOI: 10.12235/E20240673

      摘要 (148) HTML (33) PDF 798.89 K (91) 评论 (0) 收藏

      摘要:目的 探讨血清白细胞介素-17(IL-17)和可溶性血红蛋白清道夫受体163(sCD163)对结直肠癌患者腹腔镜术后发生早期吻合口瘘的预测价值。方法 选取2022年6月-2024年6月该院收治的80例行腹腔镜手术的结直肠癌患者作为研究对象,根据患者术后7 d内是否发生吻合口瘘,将患者分为吻合口瘘组(17例)和非吻合口瘘组(63例)。酶联免疫吸附测定(ELISA)检测患者术前1 d、术后1 d、术后3 d、术后5 d和术后7 d的血清IL-17和sCD163水平,比较两组患者临床资料。采用多因素Logistic回归模型,分析影响结直肠癌患者腹腔镜术后发生早期吻合口瘘的独立危险因素;采用受试者操作特征曲线(ROC curve),分析血清IL-17和sCD163水平对结直肠癌患者腹腔镜术后发生早期吻合口瘘的预测价值。结果 吻合口瘘组肿瘤距肛门距离 < 7 cm占比高于非吻合口瘘组,术后7 d引流量多于非吻合口瘘组,差异均有统计学意义(P < 0.05);两组患者不同时点血清IL-17和sCD163水平组间、时间和交互效应比较,差异均有统计学意义(P < 0.05);多因素Logistic回归分析结果显示:肿瘤距肛门距离 < 7 cm(OR^ = 3.176,95%CI:1.128~8.940)、术后3 d血清IL-17水平 ≥ 43.95 pg/mL(OR^ = 2.145,95%CI:1.281~3.592)和术后5 d血清sCD163水平 ≥ 81.02 pg/mL(OR^ = 1.852,95%CI:1.225~2.801)是结直肠癌患者腹腔镜术后发生早期吻合口瘘的独立危险因素(P < 0.05);血清IL-17和sCD163两者联合,预测结直肠癌患者腹腔镜术后发生早期吻合口瘘的曲线下面积(AUC)为0.923,两者联合诊断效能优于血清IL-17或sCD163单一诊断(Z两者联合-IL-17 = 2.77、Z两者联合-sCD163 = 2.11,P < 0.05)。结论 结直肠癌腹腔镜术后发生早期吻合口瘘的患者,血清IL-17和sCD163水平会升高,两者联合检测,对预测结直肠癌患者腹腔镜术后早期吻合口瘘的发生风险,有一定的临床价值。

      • 0+1
    • 肝胰壶腹特征对内镜逆行胰胆管造影术困难胆管插管的影响

      2025, 31(9):48-54. DOI: 10.12235/E20240676

      摘要 (110) HTML (43) PDF 742.12 K (87) 评论 (0) 收藏

      摘要:目的 探讨肝胰壶腹特征对内镜逆行胰胆管造影术(ERCP)困难胆管插管的影响。方法 回顾性分析2023年6月-2024年4月于该院行ERCP治疗的800例患者的临床资料,对肝胰壶腹内镜下宏观特征进行分类:1)不突出(n = 544);2)突出(n = 120);3)憩室、黏膜褶皱(n = 96);4)扭曲、肿瘤累及(n = 40)。所有纳入病例行ERCP操作时,均从标准胆管插管方法开始,标准胆管插管不成功的归类为困难插管。对所有困难胆管插管病例行高级插管技术[双导丝技术(DGT)和乳头括约肌预切开术(PST)]。记录插管成功率和手术相关并发症等情况。结果 肝胰壶腹特征分类中使用标准胆管插管方法,4组成功率分别为:79.96%(435/544)、69.17%(83/120)、72.92%(70/96)和65.00%(26/40),差异有统计学意义(χ2 = 10.90,P = 0.012);4组困难插管率分别为:18.01%(98/544)、27.50%(33/120)、27.08%(26/96)和30.00%(12/40),差异有统计学意义(χ2 = 10.41,P = 0.015)。亚分组中,4组使用DGT插管率分别为:11.95%(65/544)、15.83%(19/120)、12.50%(12/96)和20.00%(8/40),DGT插管成功率组间比较,差异无统计学意义(χ2 = 6.96,P = 0.073)。亚分组中,4组使用PST插管率分别为:6.07%(33/544)、11.67%(14/120)、14.58%(14/96)和10.00%(4/40),PST插管成功率组间比较,差异无统计学意义(χ2 = 5.54,P = 0.136)。169例患者使用了高级插管技术,DGT组和PST组总成功率分别为:94.23%(98/104)和89.23%(58/65),总成功率组间比较,差异有统计学意义(χ2 = 19.50,P = 0.021)。困难胆管插管组ERCP术后胰腺炎(PEP)发生率明显高于标准胆管插管组,差异有统计学意义[18.34%(31/169)和2.61%(16/614),χ2 = 58.64,P = 0.000]。DGT组与PST组的PEP发生率分别为:21.15%(22/104)和13.85%(9/65),差异无统计学意义(χ2 = 1.17,P = 0.279)。结论 肝胰壶腹特征影响胆管插管成功率。不突出组使用标准胆管插管最为容易,困难胆管插管使用DGT和PST时,需要警惕PEP风险。

    • 冷圈套息肉切除术与内镜黏膜切除术联合氩等离子体凝固术治疗结肠息肉的临床疗效及安全性比较

      2025, 31(9):55-61. DOI: 10.12235/E20250045

      摘要 (97) HTML (65) PDF 713.93 K (81) 评论 (0) 收藏

      摘要:目的 探究冷圈套息肉切除术(CSP)与内镜黏膜切除术(EMR)联合氩等离子体凝固术(APC)治疗结肠息肉的临床疗效及安全性。方法 选择2022年3月-2023年6月该院收治的结肠息肉患者80例,随机将患者分为联合手术组(采用EMR+APC治疗,40例)和CSP组(采用CSP治疗,40例)。比较两组患者围手术期指标、临床疗效、疼痛程度、炎症因子水平和安全性。结果 CSP组息肉切除时间和手术总时间明显短于联合手术组,差异均有统计学意义(P < 0.05);CSP组术后24 h视觉模拟评分法(VAS)评分明显低于联合手术组,差异有统计学意义(P < 0.05);两组患者术后1 d白细胞介素-6(IL-6)和白细胞介素-8(IL-8)水平明显高于术前,且联合手术组明显高于CSP组,差异均有统计学意义(P < 0.05);两组患者术中出血量、住院时间、临床疗效和术后72 h VAS评分比较,差异均无统计学意义(P > 0.05);联合手术组并发症发生率为15.00%,CSP组发生率为5.00%,差异无统计学意义(P > 0.05)。结论 EMR联合APC和CSP两种手术切除方案,均能有效地改善结肠息肉患者症状,提高临床疗效,且不良反应发生率均较低,安全性高;但CSP较EMR联合APC,能加快息肉切除速度,缩短手术时间,减轻患者术后早期疼痛程度,降低炎症因子水平。

    • 内镜黏膜下剥离术后早期胃癌患者迟发性出血的危险因素及其预测价值研究

      2025, 31(9):62-68. DOI: 10.12235/E20240737

      摘要 (71) HTML (56) PDF 752.65 K (78) 评论 (0) 收藏

      摘要:目的 分析内镜黏膜下剥离术(ESD)后早期胃癌(EGC)患者迟发性出血的危险因素及其预测模型的应用价值。方法 回顾性分析2019年7月-2024年3月该院收治的386例行ESD治疗的EGC患者的临床资料,术后均接受短期(术后24 h~30 d)随访,根据是否发生迟发性出血,将患者分为发生组(50例)和未发生组(336例)。采用多因素Logistic回归模型,分析影响EGC患者ESD后发生迟发性出血的独立危险因素,并绘制受试者操作特征曲线(ROC curve),分析其预测价值。结果 发生组贲门胃底、病灶直径 ≥ 3 cm、黏膜下纤维化、黏膜下粗大血管和有溃疡或瘢痕的占比明显高于未发生组,差异均有统计学意义(P < 0.05)。多因素Logistic回归分析(引入水准为0.05)结果显示:病灶位置为贲门胃底(OR^ = 1.088,95%CI:1.040~1.138)、病灶直径 ≥ 3 cm(OR^ = 1.095,95%CI:1.057~1.135)、黏膜下纤维化(OR^ = 1.130,95%CI:1.061~1.203)、黏膜下粗大血管(OR^ = 1.177,95%CI:1.116~1.241)和有溃疡或瘢痕(OR^ = 1.082,95%CI:1.057~1.108)是影响EGC患者ESD后发生迟发性出血的独立危险因素(P < 0.05)。建立预测模型:Logit(P) = -9.238 + 病灶位置为贲门胃底×0.084+病灶直径≥3 cm×0.091+黏膜下纤维化×0.122 + 黏膜下粗大血管×0.163 + 有溃疡或瘢痕×0.079(P < 0.05),似然比χ2 = 131.09,DF = 8,P < 0.05,说明构建的预测模型有效。Hosmer-Lemeshow拟合优度检验显示,预测模型的拟合效果较好(P > 0.05)。ROC curve显示:截断值为12.00时,曲线下面积(AUC)为0.929,敏感度为88.00%(95%CI:0.757~0.955),特异度为83.04%(95%CI:0.786~0.869)。结论 接受ESD治疗的EGC患者,术后发生迟发性出血与病灶为贲门胃底、病灶直径 ≥ 3 cm、黏膜下纤维化、黏膜下粗大血管和有溃疡或瘢痕有关,据此构建的预测模型,预测价值较高。

      • 0+1
    • 早期胃癌组织中微RNA-4319和微RNA-4262表达水平与内镜黏膜下剥离术后复发的相关性

      2025, 31(9):69-75. DOI: 10.12235/E20240642

      摘要 (61) HTML (23) PDF 712.53 K (62) 评论 (0) 收藏

      摘要:目的 探讨早期胃癌组织中微RNA-4319(miRNA-4319)、微RNA-4262(miRNA-4262)表达水平与内镜黏膜下剥离术(ESD)后复发的相关性。方法 收集2018年5月-2020年3月在该院行ESD的396例早期胃癌患者作为疾病组,选取同期98例正常胃黏膜胃炎患者作为对照组。采用实时荧光定量反转录聚合酶链式反应(qRT-PCR),检测组织中miRNA-4319和miRNA-4262相对表达水平;比较复发患者与未复发患者的miRNA-4319和miRNA-4262表达水平,以及临床病理特征;采用多因素Logistic回归模型,分析早期胃癌患者ESD后复发的独立危险因素;采用受试者操作特征曲线(ROC curve),分析早期胃癌组织中miRNA-4319和miRNA-4262对ESD后复发的预测价值。结果 疾病组miRNA-4319和miRNA-4262表达水平明显低于对照组,差异均有统计学意义(P < 0.05);复发组患者miRNA-4319和miRNA-4262表达水平较未复发组下降,黏膜下浸润比例较未复发组高,差异均有统计学意义(P < 0.05);浸润深度至黏膜下(OR^ = 3.158,95%CI:1.395~7.151)是早期胃癌患者ESD后复发的独立危险因素(P < 0.05),miRNA-4262 ≥ 0.76(OR^ = 0.561,95%CI:0.370~0.852)和miRNA-4319 ≥ 0.69(OR^ = 0.482,95%CI:0.255~0.911)是早期胃癌患者ESD后复发的保护因素(P < 0.05);miRNA-4319、miRNA-4262和两者联合检测预测早期胃癌患者ESD后复发的曲线下面积(AUC)分别为:0.889(95%CI:0.854~0.918)、0.914(95%CI:0.882~0.940)和0.964(95%CI:0.940~0.980),两者联合检测明显优于单独检测(P < 0.05)。结论 早期胃癌患者组织中miRNA-4319和miRNA-4262呈低表达,与ESD后复发密切相关。

      • 0+1
    • >临床研究
    • 灌流管在消化内镜管道干燥中的应用研究

      2025, 31(9):76-80. DOI: 10.12235/E20240773

      摘要 (79) HTML (66) PDF 4.08 M (68) 评论 (0) 收藏

      摘要:目的 利用透明镜模型比较灌流管和压力气枪对内镜管道干燥的影响,从而探讨灌流管在内镜管道干燥中的应用价值。方法 透明镜模型经过标准的手工清洗消毒流程后,随机分为A组和B组,每组进行30次试验,A组采用灌流管自动向内镜各管道内送气,B组采用压力气枪手动向内镜各管道内送气。采用目测和放大镜观察内镜各管道的液体残留情况,比较两组内镜管道彻底干燥的时间和操作者的躯体疲劳程度。结果 A组管道平均干燥时间为(366.47±75.74)s,B组平均干燥时间为(338.40±65.81)s,两组比较,差异无统计学意义(t = -1.53,P = 0.131);A组操作者的躯体疲劳程度较B组轻,两组比较,差异有统计学意义(t = 16.79,P < 0.01)。结论 使用灌流管和压力气枪彻底干燥内镜管道的送气时间无明显差异,但使用灌流管时,操作者的躯体疲劳程度轻,故推荐临床使用灌流管干燥内镜管道。

      • 0+1
      • 1+1
      • 2+1
      • 3+1
      • 4+1
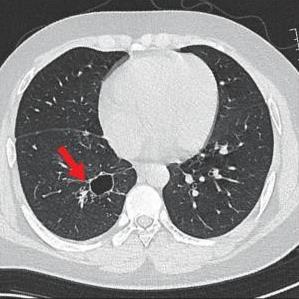
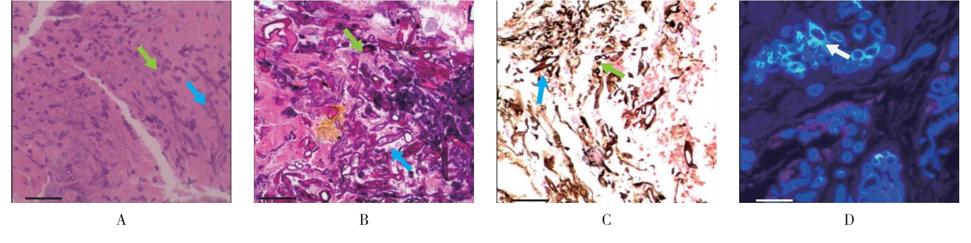
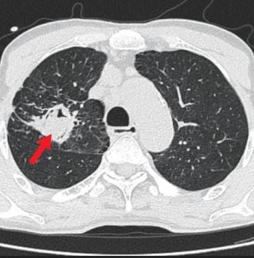
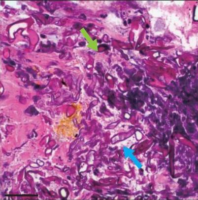
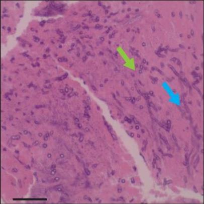
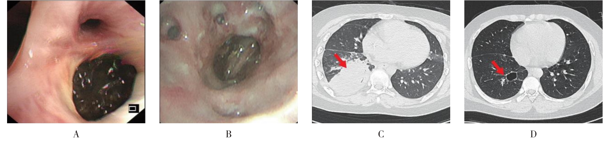
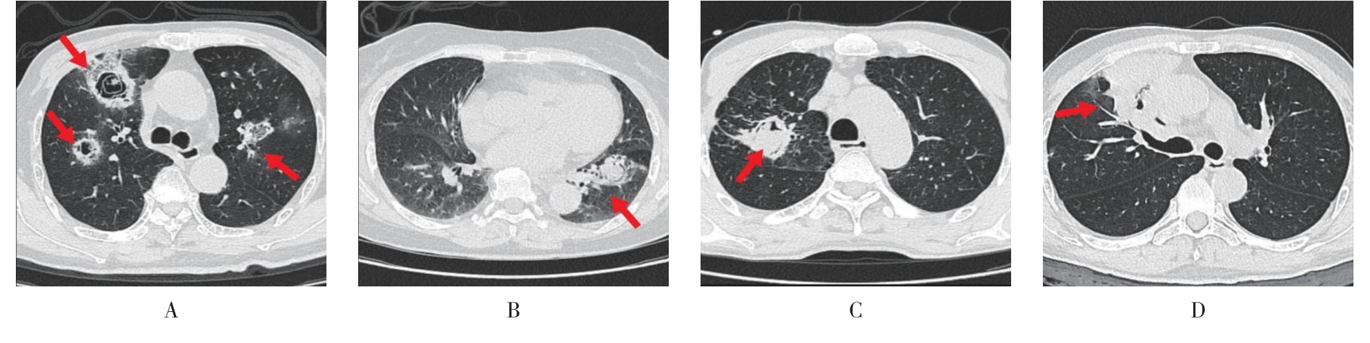
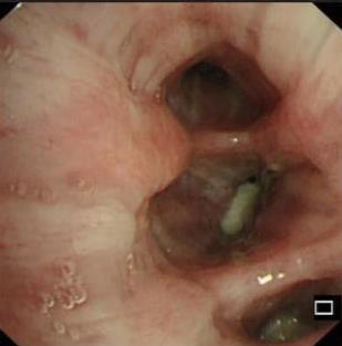
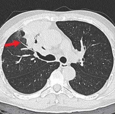
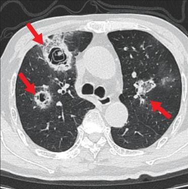
    • 侵袭性肺真菌病的支气管镜表现及介入治疗效果

      2025, 31(9):81-90. DOI: 10.12235/E20250317

      摘要 (112) HTML (56) PDF 6.06 M (77) 评论 (0) 收藏

      摘要:目的 探讨侵袭性肺真菌病(IPFD)的支气管镜表现,并评估介入治疗的安全性和疗效。方法 回顾性分析2018年5月12日-2025年5月12日于该院行支气管镜检查的35例IPFD患者的临床资料,观察IPFD的支气管镜表现及介入治疗效果。结果 共收集35例患者临床资料。其中,男22例,女13例,患者年龄(53±14)岁。基础疾病包括:血液系统恶性肿瘤10例,长期应用糖皮质激素者5例,2型糖尿病者4例,肺部恶性肿瘤2例,器官移植1例。胸部CT显示:肺部病变累及单肺叶者19例,累及多肺叶者16例。支气管镜下表现主要为:黏膜充血水肿29例(82.9%)、坏死物堵塞管腔22例(62.9%)、大量黏稠脓性分泌物17例(48.6%)、支气管部分狭窄或闭塞16例(45.7%)、黏膜坏死9例(25.7%)、黏膜出血5例(14.3%)、真菌球3例(8.6%)。其中,32例(91.4%)接受全身性抗真菌治疗,17例(48.6%)接受支气管镜局部两性霉素B灌注治疗,10例(28.6%)采用活检钳钳除病灶,6例(17.1%)采用冷冻探头冻取病灶,4例(11.4%)接受氩气刀治疗。28例(80.0%)临床症状明显改善,肺部影像学病灶缩小或消退;4例(11.4%)病灶稳定;3例(8.6%)未完成治疗。结论 IPFD多见于免疫抑制宿主,支气管镜常表现为:坏死物堵塞管腔、伴脓性分泌物、支气管管腔狭窄和局部黏膜充血水肿或坏死。全身抗真菌药物联合支气管镜下介入治疗,安全性高,且疗效好。

      • 0+1
      • 1+1
      • 2+1
      • 3+1
      • 4+1
      • 5+1
      • 6+1
      • 7+1
      • 8+1
      • 9+1
      • 10+1
      • 11+1
      • 12+1
      • 13+1
      • 14+1
      • 15+1
      • 16+1
      • 17+1
      • 18+1
      • 19+1
      • 20+1
      • 21+1
      • 22+1
      • 23+1
      • 24+1
      • 25+1
      • 26+1
      • 27+1
      • 28+1
      • 29+1
      • 30+1
      • 31+1
      • 32+1
      • 33+1

当期目录


年第卷第

文章目录

过刊浏览

年份

刊期

点击排行

引用排行

下载排行

中国内镜杂志声明
关闭