• 2025年第31卷第6期文章目次
    全 选
    显示方式: |
    • >论 著
    • 耳内镜下耳屏软骨-软骨膜鼓膜修补术后的短期疗效观察

      2025, 31(6):1-8. DOI: 10.12235/E20240626

      摘要 (319) HTML (229) PDF 4.57 M (181) 评论 (0) 收藏

      摘要:目的 探讨耳内镜下耳屏软骨-软骨膜鼓膜修补术后的短期疗效。方法 回顾性分析2019年9月-2022年8月该院收治的78例鼓膜穿孔患者的临床资料,患者均采用耳内镜下鼓膜修补术。术后随访3个月,观察鼓膜形态和穿孔愈合情况,记录内镜图像、干耳时间、术前术后听力及耳鸣情况,以及外耳道狭窄等并发症的发生率。结果 术后3个月,鼓膜穿孔愈合率为97.44%(76/78),愈合良好,平均气导听阈较术前明显改善,气骨导间距较术前明显缩小,耳鸣较术前明显改善,差异均有统计学意义(P<0.05)。干耳时间为(4.21±1.12)周。术后出现肉芽5例,再穿孔2例,真菌感染2例,术腔感染、耳屏感染、外耳道狭窄和切口瘢痕各1例,所有患者术后均未发生面神经麻痹和感音神经性聋等严重并发症。结论 耳内镜下耳屏软骨-软骨膜鼓膜修补术是一种安全、有效的手术方法。根据术后愈合规律、内镜下鼓膜和外耳道形态特征,可为鼓膜修补术后正常中耳转归和并发症的诊疗,提供临床参考。

      • 0+1
      • 1+1
      • 2+1
      • 3+1
      • 4+1
      • 5+1
      • 6+1
      • 7+1
      • 8+1
      • 9+1
      • 10+1
      • 11+1
      • 12+1
      • 13+1
      • 14+1
      • 15+1
      • 16+1
      • 17+1
      • 18+1
      • 19+1
      • 20+1
      • 21+1
      • 22+1
      • 23+1
      • 24+1
      • 25+1
      • 26+1
      • 27+1
      • 28+1
      • 29+1
      • 30+1
      • 31+1
      • 32+1
      • 33+1
    • 单侧双通道内镜与经皮椎间孔镜技术治疗极外侧型腰椎间盘突出症的临床疗效对比

      2025, 31(6):9-16. DOI: 10.12235/E20240622

      摘要 (318) HTML (258) PDF 1.17 M (159) 评论 (0) 收藏

      摘要:目的 比较单侧双通道内镜(UBE)与经皮椎间孔镜下髓核摘除术(PTED)治疗极外侧型腰椎间盘突出症(FLLDH)的临床疗效。方法 回顾性分析2021年3月-2023年3月于该院进行治疗的FLLDH患者42例,根据手术方法不同,将患者分为UBE组(18例)和PTED组(24例)。记录并比较两组患者手术时间、术中透视次数、住院时间和围手术期并发症等指标。采用疼痛视觉模拟法(VAS)评估疼痛程度,Oswestry功能障碍指数(ODI)评估功能障碍情况,Macnab评分标准评估临床疗效。结果 UBE组手术时间为(95.56±20.94)min,较PTED组的(78.25±17.23)min长,术中出血量为(69.17±8.95)mL,较PTED组的(23.96±5.89)mL多,差异均有统计学意义(P < 0.05)。UBE组住院时间为(5.67±1.28)d,与PTED组的(5.33±1.05)d比较,差异无统计学意义(P > 0.05)。UBE组术中透视次数为(3.00±0.77)次,明显少于PTED组的(7.42±0.93)次,差异有统计学意义(P < 0.05)。两组患者术后VAS评分和ODI较术前明显降低,差异均有统计学意义(P < 0.05)。术后3 d,UBE组腿痛VAS评分为(3.28±0.58)分及ODI为(41.17±4.30)%,明显低于PTED组的(4.13±0.74)分及(45.50±3.91)%,差异均有统计学意义(P < 0.05),但两组患者术后3个月和1年的VAS评分及ODI比较,差异均无统计学意义(P > 0.05)。两组患者优良率比较,差异无统计学意义(88.9%和87.5%,P = 0.563)。PTED组围手术期出现神经损伤2例,UBE组无神经损伤出现,两组均无感染、复发和大出血等严重并发症发生。结论 PTED与UBE两种手术方式治疗FLLDH均安全和有效。但UBE术中透视次数少,镜下视野更加清晰,神经损伤风险更小。

      • 0+1
      • 1+1
      • 2+1
      • 3+1
      • 4+1
      • 5+1
      • 6+1
      • 7+1
      • 8+1
      • 9+1
      • 10+1
      • 11+1
      • 12+1
      • 13+1
    • 宫腔镜下不同手术方式对子宫内膜息肉患者手术时间和子宫内膜厚度的影响

      2025, 31(6):17-23. DOI: 10.12235/E20240342

      摘要 (269) HTML (135) PDF 717.75 K (183) 评论 (0) 收藏

      摘要:目的 探究宫腔镜下不同手术方式对子宫内膜息肉(EP)患者手术时间和子宫内膜厚度的影响。方法 选取2021年4月-2023年4月于该院就诊的EP患者180例,按手术方法不同,将患者分为A组、B组和C组,各60例。A组接受宫腔镜电切术,B组接受宫腔镜冷刀手术,C组采用宫腔镜刨削系统进行手术。比较3组患者治疗前后月经失血图(PBAC)评分、子宫内膜厚度、术中出血量、住院时间、手术时间、住院费用、临床疗效、并发症发生率、妊娠率和复发率。结果 C组术中出血量明显少于A组和B组,住院时间和手术时间明显短于A组和B组,住院费用明显高于A组和B组,差异均有统计学意义(P < 0.05)。C组PBAC评分明显低于A组和B组,子宫内膜厚度明显小于A组和B组,差异均有统计学意义(P < 0.05)。A组总有效率明显低于B组和C组,差异均有统计学意义(P < 0.05),但B组和C组比较,差异无统计学意义(P > 0.05)。C组和B组并发症发生率明显低于A组,差异有统计学意义(P < 0.05),但B组和C组比较,差异无统计学意义(P > 0.05)。3组患者12个月内的复发率比较,差异无统计学意义(P > 0.05)。C组妊娠率明显高于A组和B组,且B组明显高于A组,差异均有统计学意义(P < 0.05)。结论 宫腔镜下刨削术较其他宫腔镜手术方法,更能有效清除病灶,缩短手术时间,减少术中出血量,减少子宫内膜厚度,有效促进患者月经恢复,安全性高。

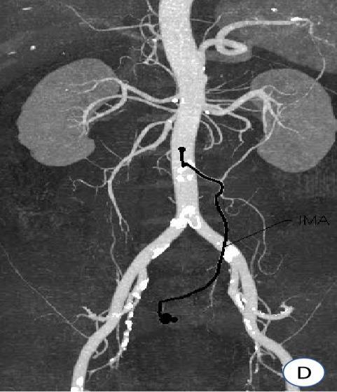
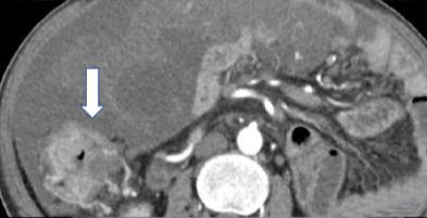
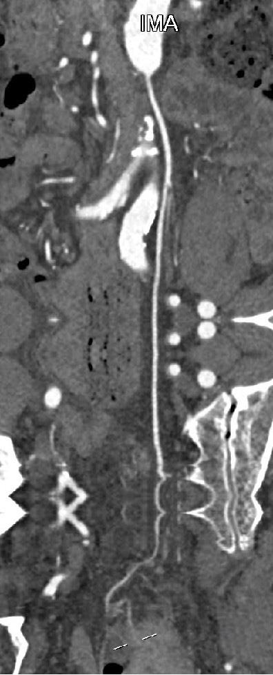
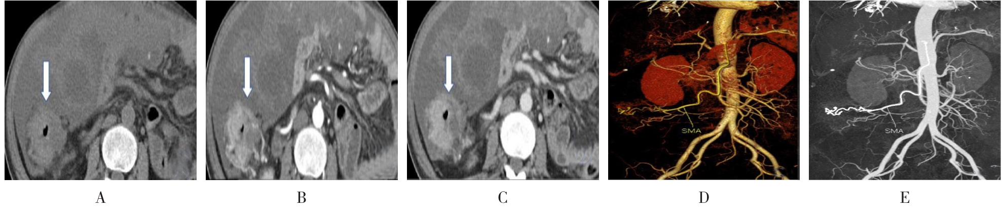
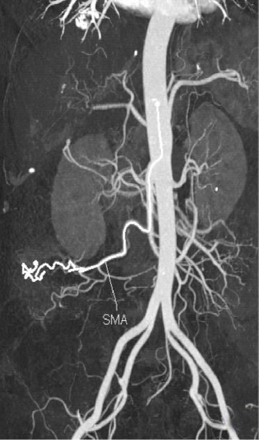
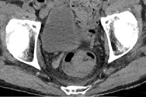
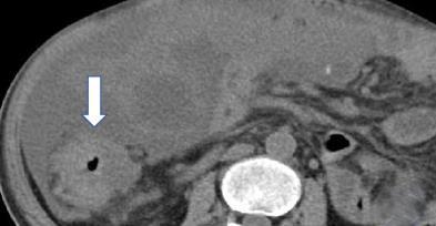
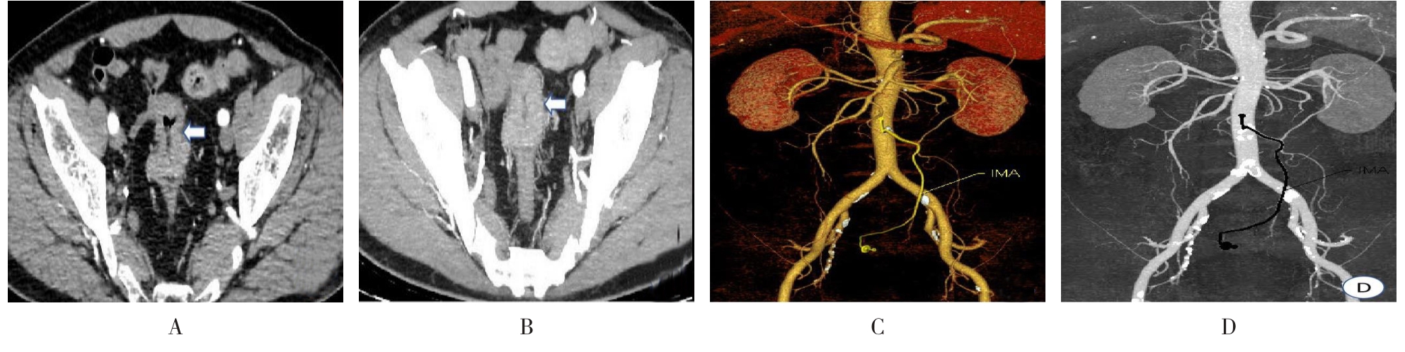
    • 计算机体层摄影血管造影在腹腔镜结肠癌根治术前评估中的应用效果

      2025, 31(6):24-31. DOI: 10.12235/E20240177

      摘要 (181) HTML (147) PDF 4.65 M (171) 评论 (0) 收藏

      摘要:目的 分析计算机体层摄影血管造影(CTA)在腹腔镜结肠癌根治术前评估中的应用效果。方法 回顾性分析2021年1月-2024年2月于该院接受腹腔镜结肠癌根治术的120例患者的临床资料。其中,60例行常规腹部CT和CTA,60例行磁共振成像(MRI)。以术后病理为金标准,判断CTA对临床T分期与术后病理的一致性,以及评估肿瘤是否侵犯肠系膜血管和周围组织的准确度。结果 术前CTA诊断T分期的准确率为95.00%(57/60),一致性好(Kappa = 0.925,P < 0.05);术前MRI诊断结肠癌T分期的准确率为98.33%(59/60),两者比较,差异无统计学意义(χ2 = 0.26,P > 0.05)。CTA预判肿瘤是否累及肠系膜上动脉、肠系膜上静脉、肠系膜下动脉、肠系膜下静脉、腹主动脉、肾动脉、肾静脉和脾动脉等血管,与术后病理的一致性好。特别是在预测肠系膜血管受累方面,CTA的敏感度为94.44%,特异度为95.83%,准确度高达95.00%。结论 对于行腹腔镜结肠癌根治术的患者,术前CTA不仅能清晰地显示结肠癌T分期,还能揭示肠系膜血管的走行和变异,以及肿瘤与周围组织的关系和侵犯程度,从而为手术规划提供强有力的支持,确保了腹腔镜手术的安全性,减少了不必要的手术风险。

      • 0+1
      • 1+1
      • 2+1
      • 3+1
      • 4+1
      • 5+1
      • 6+1
      • 7+1
      • 8+1
      • 9+1
      • 10+1
      • 11+1
      • 12+1
      • 13+1
      • 14+1
      • 15+1
      • 16+1
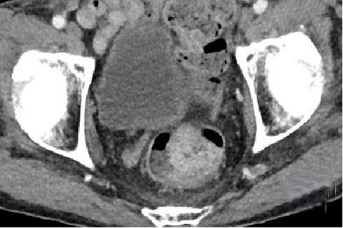
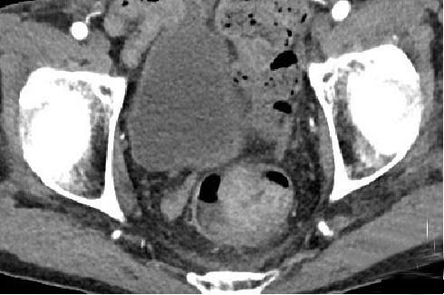
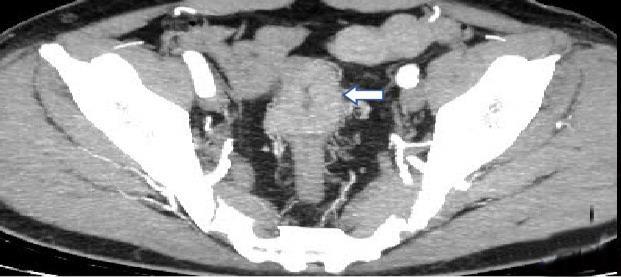
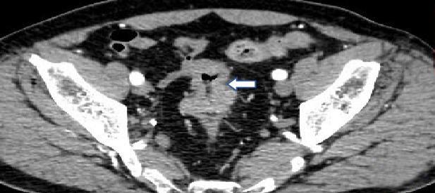
    • 腹腔镜结直肠癌根治术后发生肠梗阻的影响因素分析

      2025, 31(6):32-38. DOI: 10.12235/E20240539

      摘要 (243) HTML (108) PDF 745.73 K (138) 评论 (0) 收藏

      摘要:目的 探究腹腔镜结直肠癌根治术(LRRCC)后发生肠梗阻(IO)的影响因素。方法 回顾性分析2021年3月31日-2024年3月31日该院收治的行LRRCC的389例结直肠癌(CRC)患者的临床资料,根据术后是否发生IO,将患者分为发生IO组(68例)和未发生IO组(321例)。比较两组患者临床资料,采用多因素Logistic回归模型,分析LRRCC术后发生IO的独立危险因素。结果 发生IO组肿瘤TNM分期为Ⅲ期、淋巴结转移、术前贫血、术前低蛋白血症、腹部手术史、术前IO、术中造瘘、LRRCC为左半结肠切除术(LH)、LRRCC为右半结肠切除术(RH)和术后腹腔感染占比明显高于未发生IO组,差异均有统计学意义(P < 0.05)。多因素Logistic回归分析结果显示:TNM分期为Ⅲ期(OR^ = 1.872,95%CI:1.253~2.798)、淋巴结转移(OR^ = 1.808,95%CI:1.181~2.766)、术前贫血(OR^ = 1.900,95%CI:1.051~3.435)、术前低蛋白血症(OR^ = 1.642,95%CI:1.143~2.360)、腹部手术史(OR^ = 1.704,95%CI:1.118~2.597)、术前IO(OR^ = 1.857,95%CI:1.064~3.240)、术中造瘘(OR^ = 1.696,95%CI:1.085~2.651)、LRRCC方式为LH(OR^ = 1.084,95%CI:1.012~1.161)、LRRCC方式为RH(OR^ = 1.164,95%CI:1.070~1.267)和术后腹腔感染(OR^ = 1.904,95%CI:1.019~3.558)是CRC患者LRRCC术后发生IO的独立危险因素(P < 0.05)。结论 TNM分期为Ⅲ期、淋巴结转移、术前贫血、术前低蛋白血症、腹部手术史、术前IO、LRRCC方式为LH和RH、术中造瘘和术后腹部感染是CRC患者LRRCC术后发生IO的独立危险因素,临床可据此对高危患者行针对性处理,以降低IO的发生风险。

    • 生物补片与合成补片在腹腔镜腹股沟疝修补术中的应用价值

      2025, 31(6):39-43. DOI: 10.12235/E20240614

      摘要 (363) HTML (145) PDF 1.71 M (174) 评论 (0) 收藏

      摘要:目的 探讨生物补片应用于腹股沟疝微创手术的有效性和安全性。方法 回顾性分析2019年7月-2021年7月该院收治的100例腹股沟疝患者的临床资料。根据实际接受的补片类型,将患者分为生物补片修补组(试验组,50例)和聚丙烯补片修补组(对照组,50例),均行腹腔镜经腹腹膜前修补术(TAPP)。比较两组患者手术时间、术中出血量、术后住院时间、疝复发率、切口感染率、补片感染率和并发症发生率。结果 两组患者术后3年内均未复发。两组患者术后均未出现切口感染和补片感染。两组患者手术时间、术中出血量、术后住院时间、血清肿发生率和慢性疼痛发生率比较,差异均无统计学意义(P > 0.05)。对照组术后异物感发生率明显高于试验组,差异有统计学意义(P < 0.05)。结论 生物补片应用于TAPP是安全、有效的,可降低术后异物感发生率,可作为腹腔镜腹股沟疝修补的新选择。

      • 0+1
      • 1+1
      • 2+1
    • 利那洛肽联合西甲硅油与复方聚乙二醇电解质散对便秘患者肠道清洁效果的影响

      2025, 31(6):44-53. DOI: 10.12235/E20240604

      摘要 (241) HTML (93) PDF 1.85 M (139) 评论 (0) 收藏

      摘要:目的 探讨利那洛肽联合西甲硅油与复方聚乙二醇电解质散(PEG)对便秘患者肠道清洁效果的有效性和安全性。方法 采用前瞻性随机对照试验,通过单盲法,纳入2023年4月-2024年8月于该院消化内镜中心行结肠镜检查的便秘患者383例,随机分为常规组(128例)、实验A组(128例)和实验B组(127例)。常规组采用3 L PEG(Ⅰ)溶液,实验A组采用290 μg利那洛肽 + 2 L PEG溶液,实验B组采用290 μg利那洛肽 + 30 mL西甲硅油+2 L PEG溶液。比较3组患者的肠道准备效果[Boston肠道准备量表(BBPS)评分和去泡效果]、病变检出率、首次排便间隔时间、排便次数、盲肠插管成功率、进镜时间、退镜时间、不良反应发生率和重复检查意愿等。结果 3组患者BBPS评分比较,差异无统计学意义(P > 0.05);实验B组的去泡效果评分明显低于常规组和实验A组,差异均有统计学意义(P < 0.05);实验B组的病变总检出率和息肉检出率明显高于常规组和实验A组,差异均有统计学意义(P < 0.05);常规组的首次排便间隔时间明显长于实验A组和实验B组,差异均有统计学意义(P < 0.05);3组患者排便次数比较,差异无统计学意义(P > 0.05);3组患者盲肠插管成功率均为100.0%,进镜时间相当,差异均无统计学意义(P > 0.05);实验B组的退镜时间明显短于常规组和实验A组,差异均有统计学意义(P < 0.05);常规组腹胀腹痛发生率和不良反应总发生率明显高于实验A组和实验B组,差异均有统计学意义(P < 0.05);常规组重复检查意愿率明显低于实验A组和实验B组,差异均有统计学意义(P < 0.05)。结论 290 μg利那洛肽联合30 mL西甲硅油与2 L PEG溶液方案在便秘患者肠道准备上具有优势,较3 L PEG溶液和290 μg利那洛肽+2 L PEG溶液方案,可获得更好的肠道清洁效果,且安全性和患者重复检查意愿率高,可作为便秘患者肠道准备的推荐方案。

      • 0+1
      • 1+1
      • 2+1
      • 3+1
      • 4+1
      • 5+1
      • 6+1
      • 7+1
      • 8+1
      • 9+1
      • 10+1
      • 11+1
      • 12+1
    • 京都胃炎评分、胃蛋白酶原联合胃泌素-17预测中老年幽门螺杆菌感染阳性的萎缩性胃炎患者的最佳截断值

      2025, 31(6):54-63. DOI: 10.12235/E20240726

      摘要 (137) HTML (88) PDF 6.63 M (122) 评论 (0) 收藏

      摘要:目的 以胃镜病理活检作为金标准,探讨基于胃镜检查的京都胃炎评分、胃蛋白酶原(PG)联合胃泌素-17(G-17)预测中老年幽门螺杆菌(Hp)感染阳性的萎缩性胃炎患者的最佳截断值。方法 选择2022年8月-2023年6月于该院消化内科就诊并经胃镜检查和病理活检确诊为萎缩性胃炎的120例中老年患者作为研究对象,且所有患者均经14C-尿素呼气试验确诊为Hp阳性。入组后对每位患者进行胃镜病理活检,并根据活检结果分为萎缩性胃炎组(AG组)68例和非萎缩性胃炎组(非AG组)52例;根据木村-竹本(Kimura-Takemoto)分类法,进一步对68例萎缩性胃炎进行分组,分为轻度AG组(n = 12)、中度AG组(n = 32)和重度AG组(n = 24)。基于胃镜检查,对所有患者进行京都胃炎评分,同时,用化学发光法测定患者的血清胃蛋白酶原Ⅰ(PGⅠ)、胃蛋白酶原Ⅱ(PGⅡ)及G-17水平,并计算胃蛋白酶原比值(PGR)。使用受试者操作特征曲线(ROC curve)评价京都胃炎评分、血清PG和G-17对中老年Hp感染阳性的萎缩性胃炎患者的预测价值。结果 AG组与非AG组京都胃炎评分、血清PGⅠ、PGR和G-17水平比较,差异均有统计学意义(t = 13.38,P = 0.000;t = 50.84,P = 0.000;t = 26.44,P = 0.000;t = 9.44,P = 0.000),AG组京都胃炎评分高于非AG组(P < 0.05),AG组血清PGⅠ、PGR和G-17水平均低于非AG组(P < 0.05);AG组与非AG组血清PGⅡ水平比较,差异无统计学意义(t = 1.24,P = 0.219)。轻度AG组、中度AG组和重度AG组京都胃炎评分、血清PGⅠ、PGR和G-17水平比较,差异均有统计学意义(F = 33.95,P = 0.000;F = 81.99,P = 0.000;F = 67.36,P = 0.001;F = 33.50,P = 0.004),轻度AG组京都胃炎评分低于中度AG组和重度AG组(P < 0.05),中度AG组低于重度AG组(P < 0.05)。轻度AG组和中度AG组血清PGⅠ及PGR水平高于重度AG组(P < 0.05),轻度AG组高于中度AG组(P < 0.05)。轻度AG组血清G-17水平低于中度AG组和重度AG组(P < 0.05),中度AG组和重度AG组比较,差异无统计学意义(P > 0.05)。轻度AG组、中度AG组和重度AG组血清PGⅡ水平比较,差异无统计学意义(F = 1.03,P = 0.364)。京都胃炎评分、血清PGⅠ、PGR和G-17预测中老年Hp感染阳性的萎缩性胃炎患者的最佳截断值分别为2.78分、38.26 μg/L、1.92和9.54 pmol/L。其中,京都胃炎评分预测中老年Hp感染阳性的萎缩性胃炎患者的曲线下面积(AUC)为0.780,敏感度为71.42%,特异度为78.62%;PGⅠ预测中老年Hp感染阳性的萎缩性胃炎患者的AUC为0.757,敏感度为66.27%,特异度为83.25%;PGR预测中老年Hp感染阳性的萎缩性胃炎患者的AUC为0.792,敏感度为76.23%,特异度为87.35%;G-17预测中老年Hp感染阳性的萎缩性胃炎患者的AUC为0.672,敏感度为60.24%,特异度为74.28%;四者联合预测中老年Hp感染阳性的萎缩性胃炎患者的AUC为0.871,敏感度为81.28%,特异度为87.36%。结论 基于胃镜检查的京都胃炎评分联合血清PGⅠ、PGR和G-17检测,对于中老年Hp感染阳性的萎缩性胃炎患者,具有良好的预测价值,其预测中老年Hp感染阳性的萎缩性胃炎患者的最佳截断值分别为2.78分、38.26 μg/L、1.92和9.54 pmol/L。

      • 0+1
      • 1+1
      • 2+1
      • 3+1
      • 4+1
      • 5+1
      • 6+1
      • 7+1
      • 8+1
      • 9+1
    • 不同时机聚乙二醇电解质散剂给药方案对肠道清洁效果的影响

      2025, 31(6):64-69. DOI: 10.12235/E20250151

      摘要 (370) HTML (185) PDF 704.43 K (135) 评论 (0) 收藏

      摘要:目的 探讨无痛结肠镜前顿服与不同剂量间隔12 h分次口服聚乙二醇电解质散剂(PEG)对肠道清洁效果的影响,以期优化肠道准备方案,提高患者的耐受性。方法 选择2024年6月-2024年9月在该院消化内科内镜中心接受无痛结肠镜检查,并使用PEG作为肠道清洁剂的患者232例作为研究对象。将参与者分为3组:对照组(3.00 L PEG顿服组)、试验A组(0.75 L+2.25 L PEG组)和试验B组(1.50 L+1.50 L PEG组),所有患者均在服用完毕后4 ~ 6 h内进行无痛结肠镜检查。其中,试验A组和试验B组两次服用PEG的间隔时间均为12 h。通过波士顿肠道准备评分(BBPS)评估肠道清洁度,并记录结肠息肉检出率、患者不良反应、睡眠时间及耐受性。结果 3组患者BBPS评分和结肠息肉检出率比较,差异均无统计学意义(P > 0.05)。试验B组服用PEG后的不良反应最轻,其次是试验A组,对照组的不良反应最明显(P < 0.05)。不同时间口服PEG对3组患者的睡眠时间无明显影响(P > 0.05)。试验B组对PEG的耐受性良好,愿意接受此方案进行肠道准备,试验A组次之,对照组耐受性最差,3组之间比较,差异有统计学意义(P < 0.05)。结论 顿服与分次服用PEG对肠道清洁效果及结肠息肉检出率无明显影响,但间隔12 h分次PEG方案,患者不良反应轻、耐受性好,尤其是间隔12 h分2次服用1.50 L PEG方案最佳。

    • 全身麻醉联合超声引导下星状神经节阻滞对肩关节镜手术患者血流动力学和术后认知功能的影响

      2025, 31(6):70-77. DOI: 10.12235/E20240561

      摘要 (191) HTML (112) PDF 791.45 K (135) 评论 (0) 收藏

      摘要:目的 探讨全身麻醉联合超声引导下星状神经节阻滞(SGB)对肩关节镜手术患者血流动力学和术后认知功能的影响。方法 选取2024年1月-2024年6月该院收治的肩关节镜手术患者120例,随机分为全身麻醉组(n = 60,实施全身麻醉)和辅助SGB组(n = 60,实施全身麻醉联合超声引导下SGB)。比较两组患者血流动力学指标、应激指标[血清皮质醇(Cor)和白细胞介素-6(IL-6)]、术后疼痛度[采用视觉模拟评分法(VAS)评分进行评定]、生物标志物[血清基质金属蛋白酶-9(MMP-9)和神经特异性蛋白S-100β(S-100β)]水平和认知功能[采用简易智力状态检查量表(MMSE)进行评定]。结果 两组患者术中出血量和手术时间比较,差异均无统计学意义(P > 0.05)。两组患者诱导麻醉后(T1)的平均动脉压(MAP)和心率(HR)明显低于入室时(T0),差异均有统计学意义(P < 0.05);手术开始时(T2)、手术开始后30 min(T3)和术毕时(T4)的MAP和HR明显高于T0时点,差异均有统计学意义(P < 0.05);辅助SGB组T1、T2、T3和T4时点MAP和HR明显低于全身麻醉组,差异均有统计学意义(P < 0.05)。辅助SGB组术后12和24 h VAS评分明显低于全身麻醉组,差异均有统计学意义(P < 0.05)。术后12和24 h,两组患者血清Cor和IL-6水平明显高于术前1 d,但辅助SGB组血清Cor和IL-6水平明显低于全身麻醉组,差异均有统计学意义(P < 0.05)。术后24和72 h,两组患者血清MMP-9和S-100β水平明显高于术前1 d,但辅助SGB组血清MMP-9和S-100β水平明显低于全身麻醉组,差异均有统计学意义(P < 0.05)。术后3和5 d,两组患者MMSE评分明显低于术前1 d,但辅助SGB组MMSE评分明显高于全身麻醉组,差异均有统计学意义(P < 0.05)。结论 肩关节镜手术中实施全身麻醉联合超声引导下SGB,可维持术中血流动力学稳定,缓解术后应激状况,减轻疼痛,降低血清MMP-9和S-100β表达水平,提高术后认知功能。值得临床推广应用。

    • >多镜联合·论著
    • 输尿管软镜铥激光碎石术联合微通道经皮肾镜取石术治疗上尿路结石的临床疗效及安全性分析

      2025, 31(6):78-84. DOI: 10.12235/E20250031

      摘要 (175) HTML (77) PDF 747.64 K (130) 评论 (0) 收藏

      摘要:目的 分析输尿管软镜铥激光碎石术联合微通道经皮肾镜取石术(mPCNL)治疗上尿路结石的临床疗效和安全性。方法 选择2020年9月-2023年9月该院收治的上尿路结石患者300例,采用随机数表法将患者分为对照1组、对照2组和联合组,各100例。对照1组采用输尿管软镜铥激光碎石术治疗,对照2组采用mPCNL治疗,联合组采用输尿管软镜铥激光碎石术联合mPCNL治疗。比较3组患者围手术期指标、血清炎症因子水平、疼痛评分和并发症发生率。结果 联合组结石清除率明显高于对照1组和对照2组,手术时间明显长于对照1组和对照2组,住院时间明显短于对照1组和对照2组,但对照1组术中出血量明显少于联合组和对照2组,差异均有统计学意义(P < 0.05)。3组患者术后1 h肿瘤坏死因子α(TNF-α)水平明显高于术前,术后12和24 h TNF-α水平明显低于术后1 h,差异均有统计学意义(P < 0.05)。3组患者术后1和12 h降钙素原(PCT)水平明显高于术前,术后24 h PCT水平明显低于术后12 h,但明显高于术前和术后1 h,差异均有统计学意义(P < 0.05)。3组患者术后1、12和24 h 视觉模拟评分法(VAS)评分均依次降低,且对照1组明显低于联合组和对照2组,差异均有统计学意义(P < 0.05)。3组患者并发症总发生率比较,差异无统计学意义(P > 0.05)。结论 输尿管软镜铥激光碎石术联合mPCNL治疗上尿路结石,结石清除率高,术后恢复快,且未增加并发症发生率。

    • >临床研究
    • 基于加速康复外科理念下一次性使用电子宫腔镜在日间手术中应用的可行性分析

      2025, 31(6):85-90. DOI: 10.12235/E20240589

      摘要 (209) HTML (177) PDF 690.76 K (133) 评论 (0) 收藏

      摘要:目的 评估基于加速康复外科理念下一次性使用电子宫腔镜在日间手术中应用的可行性。方法 回顾性分析2023年2月-2024年4月该院295例采用一次性使用电子宫腔镜治疗的日间手术患者的临床资料。分析手术时间、手术成功率、手术并发症、疾病复发率和患者满意度等指标。结果 一次性使用电子宫腔镜治疗子宫内膜息肉的手术时间分别为:1个息肉(4.973±0.384)min,2个息肉(6.193±0.533)min,3~5个息肉(10.279±0.847)min,>5个息肉(15.938±2.008)min;治疗子宫内膜异常增生的手术时间为(4.323±0.954)min,治疗胚物残留的手术时间为(8.077±1.317)min,治疗子宫黏膜下肌瘤的手术时间为(16.750±1.541)min,治疗宫腔粘连的手术时间为(11.611±2.598)min,治疗子宫内膜炎的手术时间为(3.500±0.463)min,治疗纵隔子宫及宫腔无明显异常的手术时间为(2.214±0.636)min,治疗输卵管开口封闭的手术时间为(14.167±2.255)min,治疗宫内节育器残留的手术时间为3.5 min。检查成功率100.0%,手术成功率98.3%,患者满意度99.3%,并发症3例(人工流产综合征2例,术后发热1例,无严重并发症)。术后随访半年,失访8例,复发5例(子宫内膜息肉3例,宫腔轻度粘连2例)。结论 一次性使用电子宫腔镜能治疗妇科常见的宫腔内疾病,手术时间短,手术成功率高,患者满意度较好,并发症轻微,有利于术后快速康复,可用于日间手术。值得临床推广应用。

当期目录


年第卷第

文章目录

过刊浏览

年份

刊期

点击排行

引用排行

下载排行

中国内镜杂志声明
关闭