• 2025年第31卷第12期文章目次
    全 选
    显示方式: |
    • >论 著
    • 关节镜下前交叉韧带重建术中应用罗哌卡因行坐骨神经阻滞的半数效应浓度研究

      2025, 31(12):1-8. DOI: 10.12235/E20250142

      摘要 (94) HTML (53) PDF 806.13 K (107) 评论 (0) 收藏

      摘要:目的 探究关节镜下前交叉韧带重建术(ACLR)中应用罗哌卡因行坐骨神经阻滞的半数效应浓度(EC50)。方法 选取2023年5月-2024年11月于该院行单侧关节镜下ACLR治疗的患者33例。手术当日进手术室后,行收肌管神经阻滞(15 mL罗哌卡因)和大腿外侧入路坐骨神经阻滞(20 mL罗哌卡因),初始浓度为0.20%,相邻浓度梯度为0.01%。感觉阻滞但运动未阻滞者纳入阻滞成功组(16例),感觉与运动均阻滞者纳入阻滞失败组(17例)。阻滞成功组在下1例时降低1级浓度,阻滞失败组则增加1级浓度。通过Probit模型,分析罗哌卡因用于关节镜下ACLR中坐骨神经阻滞运动感觉分离的EC50。比较两组患者首次补救性镇痛治疗时间、手术时间、麻醉时间、瑞芬太尼用量、住院时间、神经阻滞30 min后患者等速肌力评定的峰力矩,术后6、12和24 h视觉模拟评分法(VAS)评分及Lovett肌力,以及并发症发生情况。结果 罗哌卡因用于关节镜下ACLR中坐骨神经阻滞的EC50为0.23%(95%CI:0.21%~0.24%)。两组患者首次补救性镇痛治疗时间、手术时间、麻醉时间和瑞芬太尼用量比较,差异均无统计学意义(P > 0.05)。阻滞成功组住院时间较阻滞失败组短,神经阻滞30 min后的伸膝肌力和屈膝肌力的峰力矩较阻滞失败组高,差异均有统计学意义(P < 0.05)。术后6和12 h,阻滞成功组Lovett肌力4级和5级的占比高于阻滞失败组,差异有统计学意义(P < 0.05)。两组患者术后24 h VAS比较,差异无统计学意义(P > 0.05)。两组患者住院期间均未发生穿刺部位血肿和出血等并发症。结论 关节镜下ACLR中应用罗哌卡因行坐骨神经阻滞的EC50为0.23%,在此浓度下行坐骨神经阻滞,可在保障感觉阻滞的同时,还不影响患者运动功能,且患者早期康复效果好。值得临床推广应用。

      • 0+1
    • 亚麻醉剂量艾司氯胺酮复合丙泊酚在无痛胃镜检查中对低血压及低氧血症的影响

      2025, 31(12):9-16. DOI: 10.12235/E20250241

      摘要 (100) HTML (51) PDF 780.45 K (81) 评论 (0) 收藏

      摘要:目的 探讨亚麻醉剂量艾司氯胺酮复合丙泊酚在无痛胃镜检查中对低血压和低氧血症的影响。方法 选取2023年4月-2024年3月在该院行择期无痛胃镜检查的患者179例,随机分为艾司氯胺酮组(艾司氯胺酮复合丙泊酚,EP组,90例)和对照组(舒芬太尼复合丙泊酚,SP组,89例)。EP组静脉注射艾司氯胺酮0.20 mg/kg,SP组静脉注射舒芬太尼0.10 μg/kg,两组均静脉注射丙泊酚1.50 mg/kg,在患者睫毛反射消失且深度镇静[改良警觉镇静评分(MOAA/S)≤ 1分]时,开始胃镜进镜操作,需要时追加0.50~1.00 mg/kg丙泊酚。记录两组患者围手术期指标(低血压及低氧血症等心肺不良事件的发生情况、丙泊酚总用量、麻醉诱导时间、麻醉诱导至进镜时间、胃镜检查时间、苏醒时间和恢复时间);记录两组患者胃镜检查期间最低经皮动脉血氧饱和度(SpO2);记录两组患者麻醉诱导前(T0)、胃镜置入前(T1)、胃镜置入后3 min(T2)、胃镜检查结束即刻(T3)和出恢复室前(T4)的平均动脉压(MAP)、心率(HR)和SpO2;记录两组患者并发症发生率(恶心、呕吐、头晕和做梦)和患者满意度。结果 与SP组比较,EP组低血压和低氧血症发生率明显降低,胃镜检查期间最低SpO2明显升高,丙泊酚用量增加,苏醒时间延长,差异均有统计学意义(P < 0.05)。两组患者诱导时间、麻醉诱导至进镜时间、胃镜检查时间和恢复时间比较,差异均无统计学意义(P > 0.05)。与T0时点比较,T1、T2、T3和T4时点两组患者MAP均下降,且SP组下降更为明显;T1时点,EP组患者HR较T0时点升高,SP组T2、T3和T4时点HR较T0时点下降;T2时点,两组患者SpO2较T0时点下降,差异均有统计学意义(P < 0.05)。与EP组比较,SP组T1、T2、T3和T4时点MAP和HR明显降低,T2、T3和T4时点SpO2明显降低,差异均有统计学意义(P < 0.05)。与SP组比较,EP组做梦者较多,但均未出现梦魇,两组患者检查后头晕、恶心和呕吐发生率,以及满意度比较,差异均无统计学意义(P > 0.05)。结论 亚麻醉剂量(0.20 mg/kg)艾司氯胺酮复合丙泊酚可安全有效地用于无痛胃镜检查,能减少低血压及低氧血症等心肺不良事件,维持患者血流动力学稳定,且不增加药物相关副作用。值得应用于临床。

    • 超声引导下肩胛上神经及腋神经射频脉冲治疗对关节镜下肩袖损伤修复术后恢复质量的影响

      2025, 31(12):17-24. DOI: 10.12235/E20250196

      摘要 (112) HTML (40) PDF 773.49 K (101) 评论 (0) 收藏

      摘要:目的 探讨超声引导下肩胛上神经及腋神经射频脉冲治疗对关节镜下肩袖修复术后患者恢复质量及安全性的影响。方法 选取2023年7月-2025年1月于该院接受关节镜下肩袖修复术的患者60例,采用随机数表法,将患者分为观察组和对照组,各30例。在全身麻醉诱导前的干预阶段,观察组接受超声引导下肩胛上神经及腋神经射频脉冲治疗,对照组实施超声引导下肌间沟臂丛神经阻滞。两组患者术后均采用患者自控静脉镇痛(PCIA)进行干预。观察两组患者手术时间、术中阿片类药物使用量、补救镇痛例数和术后48 h PCIA按压次数。记录术后12 h、24 h、48 h、1周、1个月和2个月活动状态下(上臂外展和外旋时)的数字分级评分法(NRS)评分,术后48 h、1周、1个月和2个月的牛津肩关节评分(OSS)。并记录麻醉恢复室(PACU)带管时间和PACU停留时间,以及不良反应(神经损伤、穿刺部位感染、呃逆、局部麻醉药毒性反应、恶心呕吐、声音嘶哑和霍纳综合征)发生情况。结果 两组患者手术时间、PACU停留时间和术中舒芬太尼使用量比较,差异均无统计学意义(P > 0.05)。观察组术后48 h PCIA按压次数和补救镇痛例数明显少于对照组,PACU带管时间明显短于对照组,差异均有统计学意义(P < 0.05)。观察组术后12 h活动状态下的NRS评分明显高于对照组,差异有统计学意义(P < 0.05);观察组术后24 h活动状态下的NRS评分高于对照组,但差异无统计学意义(P > 0.05);观察组术后48 h、1周、1个月和2个月活动状态下的NRS评分明显低于对照组,差异均有统计学意义(P < 0.05)。两组患者术后48 h和1周的OSS比较,差异均无统计学意义(P > 0.05);观察组术后1和2个月的OSS明显低于对照组,差异均有统计学意义(P < 0.05)。两组患者不良反应发生率比较,差异无统计学意义(P > 0.05)。结论 超声引导下肩胛上神经及腋神经射频脉冲治疗,可为关节镜下肩袖损伤修复术患者提供确切的镇痛效果,有利于肩关节功能的恢复,安全有效,值得临床推广应用。

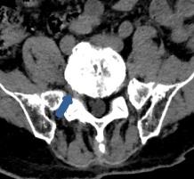
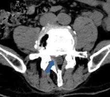
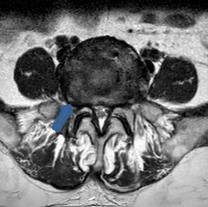
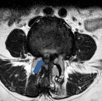
    • 脊柱内镜侧后路联合减压术治疗腰神经根双卡综合征的临床疗效观察

      2025, 31(12):25-32. DOI: 10.12235/E20250012

      摘要 (122) HTML (46) PDF 10.14 M (90) 评论 (0) 收藏

      摘要:目的 观察脊柱内镜侧后路联合减压术治疗腰神经根双卡综合征(DCS)的临床疗效、可行性、安全性和有效性。方法 回顾性分析2018年9月-2023年9月于该院就诊的50例腰椎退行性病变致腰神经根DCS患者的临床资料,根据手术方法不同,将患者分为观察组(37例)和对照组(13例)。观察组行脊柱内镜侧后路联合减压术治疗,对照组行非手术治疗。比较两组患者治疗前、治疗后1周、治疗后3个月、治疗后6个月和治疗后12个月的疼痛视觉模拟评分法(VAS)评分、Oswestry功能障碍指数(ODI)和日本骨科协会(JOA)评分。末次随访时,采用改良Macnab标准,评估临床疗效;采用腰椎MRI检查,评估椎间隙高度和椎间盘退变改良Pfirrmann分级。比较两组患者治疗的安全性(包括:并发症发生情况、复发情况和转手术治疗情况)。结果 50例患者均顺利完成治疗。两组患者术后VAS评分和ODI呈下降趋势,JOA评分呈升高趋势,观察组术后各时点VAS评分和ODI明显低于术前,且明显低于对照组,术后各时点JOA评分明显高于术前,且明显高于对照组,差异均有统计学意义(P < 0.05);观察组优良率为86.49%,明显高于对照组的76.92%,差异有统计学意义(P < 0.05);两组患者末次随访时,椎间隙高度和椎间盘退变Pfirrmann分级比较,差异均无统计学意义(P > 0.05)。两组患者围手术期均未出现神经损伤和脑脊液漏等严重并发症,观察组术后1例出现下肢放射性疼痛;观察组1例术后3个月出现腰椎间盘再突出;对照组有3例转手术治疗。结论 与非手术治疗相比,脊柱内镜侧后路联合减压术可更为安全、有效地缓解腰神经根DCS患者的疼痛,改善下肢功能,且早、中期临床疗效好。值得临床推广应用。

      • 0+1
      • 1+1
      • 2+1
      • 3+1
      • 4+1
      • 5+1
      • 6+1
      • 7+1
      • 8+1
      • 9+1
      • 10+1
      • 11+1
      • 12+1
      • 13+1
      • 14+1
      • 15+1
      • 16+1
      • 17+1
    • 骨创伤治疗仪联合胸腔镜下肋骨骨折内固定手术治疗多发肋骨骨折合并血气胸的临床疗效

      2025, 31(12):33-42. DOI: 10.12235/E20240685

      摘要 (86) HTML (51) PDF 5.26 M (84) 评论 (0) 收藏

      摘要:目的 探讨胸腔镜下肋骨骨折内固定术后,辅助给予骨创伤治疗仪,治疗多发肋骨骨折(MRF)合并血气胸的临床疗效及安全性。方法 选取2021年1月-2024年1月该院收治的MRF合并血气胸患者86例,采用随机数表法将患者分为两组,各43例。两组均接受胸腔镜下肋骨骨折内固定手术治疗,对照组于术后给予常规处理,观察组在对照组基础上,接受骨创伤治疗仪辅助治疗。观察两组患者近期和远期疗效。比较两组患者术前、术后3 d、术后7 d和术后14 d的血胸出血量和疼痛视觉模拟法(VAS)评分。比较两组患者术前和术后14 d的凝血功能指标[凝血酶原时间(PT)、活化部分凝血活酶时间(APTT)、凝血酶时间(TT)、纤维蛋白原(FIB)和D-二聚体(D-D)]。比较两组患者术后恢复情况(引流管留置时间、肿胀消退时间、住院时间和骨折愈合时间)和术后并发症发生情况。结果 观察组近期疗效总有效率为97.67%(42/43),明显高于对照组的81.40%(35/43),差异有统计学意义(P < 0.05)。观察组远期疗效总有效率为97.67%(42/43),与对照组的88.37%(38/43)比较,差异无统计学意义(P > 0.05)。术后3、7和14 d,两组患者血胸出血量明显少于术前,且观察组明显少于对照组,两组患者疼痛VAS评分明显低于术前,且观察组明显低于对照组,差异均有统计学意义(P < 0.05)。术后14 d,两组患者PT、APTT和TT明显长于术前,且观察组明显长于对照组,两组患者FIB和D-D明显低于术前,且观察组明显低于对照组,差异均有统计学意义(P < 0.05)。观察组引流管留置时间、肿胀消退时间、住院时间和骨折愈合时间明显短于对照组,差异均有统计学意义(P < 0.05)。观察组术后并发症总发生率为2.33%(1/43),与对照组的11.63%(5/43)比较,差异无统计学意义(P > 0.05)。结论 胸腔镜下肋骨骨折内固定术后辅助给予骨创伤治疗仪治疗,能有效地促进MRF合并血气胸患者胸腔积气和积液的吸收,减轻疼痛程度,改善凝血功能,加快术后机体恢复。值得临床推广应用。

      • 0+1
      • 1+1
      • 2+1
      • 3+1
      • 4+1
      • 5+1
    • 多措施联合的腹腔镜肝切除术治疗肝癌合并肝硬化并门静脉高压症的临床应用研究

      2025, 31(12):43-48. DOI: 10.12235/E20250122

      摘要 (99) HTML (57) PDF 718.27 K (94) 评论 (0) 收藏

      摘要:目的 探究腹腔镜肝切除术(LLR)联合多措施治疗伴有肝硬化及门静脉高压症的肝癌患者的临床应用效果。方法 选取2022年10月-2024年7月该院收治的伴有肝硬化及门静脉高压症的肝癌患者60例,随机分为两组。研究组(30例)行多措施联合的LLR,对照组(30例)行常规LLR联合脾切除和门奇静脉断流术。比较两组患者手术相关情况(术中出血量、输血量、手术时间和住院时间);比较两组患者术前和术后7 d的肝功能[谷草转氨酶(GOT)、总胆红素(TBiL)和谷丙转氨酶(GPT)]和血常规指标[血小板(PLT)、血红蛋白(Hb)和白细胞(WBC)];统计两组患者术后并发症发生情况。结果 研究组术中出血量和输血量明显少于对照组,手术时间和住院时间明显短于对照组,差异均有统计学意义(P < 0.05)。术后7 d,两组患者GPT、TBiL和GOT水平明显低于术前,且研究组明显低于对照组,差异均有统计学意义(P < 0.05)。术后7 d,两组患者PLT和WBC明显高于术前,但研究组PLT明显高于对照组,差异均有统计学意义(P < 0.05)。两组患者术后并发症总发生率比较,差异无统计学意义(P > 0.05)。结论 肝癌合并肝硬化并门静脉高压症患者实施多措施联合的LLR治疗,具有较高的临床应用价值,可有效地提高患者康复质量。值得临床推广应用。

    • 电子胃镜联合实验室指标检测在胃癌诊断中的价值及其与临床病理特征的关系

      2025, 31(12):49-55. DOI: 10.12235/E20240712

      摘要 (65) HTML (26) PDF 718.76 K (63) 评论 (0) 收藏

      摘要:目的 探究电子胃镜联合实验室指标[血清糖类抗原724(CA724)、糖类抗原19-9(CA19-9)、微RNA-183(miRNA-183)和微RNA-144(miRNA-144)]检测在胃癌诊断中的价值及其与临床病理特征的关系。方法 选取2022年12月-2023年12月经病理检查确诊的122例胃癌患者作为A组(2022年12月-2023年12月该院收治),纳入该院同期收治的130例胃部良性肿瘤患者作为B组。所有患者在病理检查确诊前均先行电子胃镜检查,比较两组患者电子胃镜检查阳性率、血清CA724、CA19-9、miRNA-183和miRNA-144水平,并分析其对胃癌的诊断价值,比较不同病理特征胃癌患者电子胃镜检查阳性率及血清指标水平。结果 A组电子胃镜检查阳性率、血清CA724、CA19-9和miRNA-183水平高于B组,血清miRNA-144水平低于B组,差异均有统计学意义(P < 0.05)。与单独诊断相比,五者联合诊断胃癌的曲线下面积(AUC)更高,差异有统计学意义(P < 0.05)。不同分化程度、淋巴结转移情况和TNM分期患者电子胃镜检查阳性率、血清CA724、CA19-9、miRNA-183和miRNA-144水平比较,差异均有统计学意义(P < 0.05)。结论 电子胃镜检查在诊断胃癌及评估其病理特征方面,具有较好的应用效果,相关实验室指标(血清CA724、CA19-9、miRNA-183和miRNA-144)与胃癌的发生及病理特征密切相关,五者联合检测,可提高对胃癌的诊断效能。

      • 0+1
    • 单纯内镜乳头小球囊扩张术在胆总管较大结石中的应用效果及安全性

      2025, 31(12):56-63. DOI: 10.12235/E20250208

      摘要 (70) HTML (39) PDF 743.90 K (64) 评论 (0) 收藏

      摘要:目的 分析内镜乳头小球囊扩张术(EPSBD)治疗胆总管较大结石(直径10~15 mm)的临床效果及安全性。方法 选择2020年1月-2023年12月该院收治的胆总管较大结石(直径10~15 mm)患者142例,采用随机数表法分为观察组与对照组,各71例。观察组行EPSBD(扩张球囊直径10 mm)治疗,对照组行内镜十二指肠乳头括约肌切开术(EST)联合球囊扩张术(EPBD)治疗。比较两组患者围手术期相关指标(取石成功率、取石时间、术后首次排便时间和住院时间),术前和术后48 h肝功能指标[总胆红素(TBiL)、谷丙转氨酶(GPT)和谷草转氨酶(GOT)],术后早期与远期并发症的发生情况,以及术后12个月内实施腹腔镜胆囊切除术(LC)情况。结果 两组患者取石成功率、取石时间、术后首次排便时间和住院时间比较,差异均无统计学意义(P > 0.05);术后48 h,两组患者血清TBiL、GPT和GOT水平明显低于术前,差异均有统计学意义(P < 0.05),但两组间比较,差异均无统计学意义(P > 0.05);观察组术后早期并发症发生率为11.27%,与对照组的8.45%比较,差异无统计学意义(P > 0.05);观察组术后远期并发症发生率为2.82%,明显低于对照组的16.90%,差异有统计学意义(P < 0.05);术后12个月内,观察组有5例实施了LC,对照组有4例实施了LC,两组间比较,差异无统计学意义(P > 0.05)。结论 应用EPSBD治疗胆总管较大结石(10~15 mm),与EST + EPBD治疗方案相比,能获得相近的取石成功率,但前者有利于降低远期并发症的发生率。值得临床推广应用。

    • 乳果糖肠道准备优化方案的前瞻性随机对照试验

      2025, 31(12):64-69. DOI: 10.12235/E20250278

      摘要 (59) HTML (55) PDF 674.79 K (71) 评论 (0) 收藏

      摘要:目的 对比分析乳果糖与复方聚乙二醇电解质散(PEG)在肠道准备中的应用效果,以建立优化肠道准备的新方案。方法 采用前瞻性随机对照试验,纳入2023年1月-2024年6月于江苏大学附属高淳医院(南京市高淳人民医院)拟行结肠镜检查的患者300例,随机分为乳果糖组(n = 150)和PEG组(n = 150)。评估两组患者肠道清洁度[波士顿肠道准备量表(BBPS)评分和肠道气泡评分(BBS)]、大便总次数、末次大便性状、结肠腺瘤检出率(ADR)、不良反应发生率和口感评分。结果 乳果糖组BBPS总分明显高于PEG组,BBS明显低于对照组,差异均有统计学意义(P < 0.05)。乳果糖组大便总次数多于PEG组,末次大便呈水样便占比明显低于PEG组,口感评分高于PEG组,不良反应发生率低于PEG组,差异均有统计学意义(P < 0.05);两组患者ADR比较,差异无统计学意义(P > 0.05);肠道准备不足与患者体脂率呈正相关(r = 0.265,P < 0.05)。结论 乳果糖用于肠道准备的效果与复方PEG接近,但乳果糖组的肠道视野更好,气泡更少,且口感较复方PEG好。值得临床推广应用。

    • 早期胃癌患者血清血管生成素-2和CC趋化因子配体22水平对内镜黏膜下剥离术后复发的预测价值

      2025, 31(12):70-76. DOI: 10.12235/E20250013

      摘要 (57) HTML (24) PDF 778.96 K (66) 评论 (0) 收藏

      摘要:目的 探讨早期胃癌患者血清血管生成素-2(Ang-2)和CC趋化因子配体22(CCL22)水平对内镜黏膜下剥离术(ESD)后复发的预测价值。方法 选取2019年2月-2023年2月于该院采用ESD治疗的早期胃癌患者236例,术后随访1年,根据复发情况,分为复发组(49例)和未复发组(187例)。采用酶联免疫吸附试验(ELISA),检测血清Ang-2和CCL22的表达水平;采用Pearson法,分析ESD后复发的早期胃癌患者血清Ang-2与CCL22的相关性;采用多因素Logistic回归模型,分析影响早期胃癌患者ESD后复发的独立危险因素;绘制受试者操作特征曲线(ROC curve),分析Ang-2和CCL22的预测价值。结果 与未复发组相比,复发组Ang-2和CCL22表达水平明显升高,差异均有统计学意义(P < 0.05);复发组黏膜下层浸润、低分化占比及ESD未完整切除占比明显高于未复发组,差异均有统计学意义(P < 0.05);采用Pearson相关性分析,结果显示,复发组Ang-2与CCL22呈正相关(r = 0.74,P < 0.05);多因素Logistic回归分析显示,Ang-2水平升高、CCL22水平升高、低分化和黏膜下层浸润,是影响早期胃癌患者ESD后复发的独立危险因素(P < 0.05);ROC curve分析结果显示,单独使用Ang-2作为预测指标时,曲线下面积(AUC)为0.868,单独使用CCL22作为预测指标时,AUC为0.783,将Ang-2和CCL22联合检测作为预测指标时,AUC增高至0.925,明显优于Ang-2或CCL22单独检测(Z = 2.18,Z = 2.84;P < 0.05)。结论 ESD后复发的早期胃癌患者,血清中Ang-2和CCL22水平增加,两者表达水平与早期胃癌患者ESD后复发的情况存在关联。Ang-2和CCL22联合检测,预测早期胃癌患者ESD后复发,具有较高的应用价值。

      • 0+1
      • 1+1
    • >临床研究
    • 可旋转重复开闭软组织夹联合外科尼龙缝合线法闭合结直肠内镜黏膜下剥离术后缺损的临床应用价值

      2025, 31(12):77-82. DOI: 10.12235/E20250091

      摘要 (77) HTML (65) PDF 1.86 M (64) 评论 (0) 收藏

      摘要:目的 探讨可旋转重复开闭软组织夹联合外科尼龙缝合线法(ROLM)闭合结直肠内镜黏膜下剥离术(ESD)后黏膜缺损的临床疗效。方法 回顾性分析2024年1月-2024年6月15例在南京医科大学附属常州市第二人民医院因早期结直肠肿瘤行ESD,并采用ROLM闭合黏膜缺损患者的临床资料。观察患者病灶相关情况(病灶部位、缺损最大径和术后病理)、手术相关情况(术后缺损成功闭合率、钛夹使用数量、ROLM缝合时间和住院时间)、术后并发症发生情况和术后随访情况。结果 术后缺损成功闭合率为100%。病灶长径3.0~6.0 cm,平均(3.7±0.8)cm。缺损部位:回盲部1例,升结肠6例,横结肠肝曲1例,降结肠2例,乙状结肠3例,直肠2例。术后病理为:管状腺瘤8例,黏膜下囊肿1例,管状绒毛状腺瘤5例,胃肠道间质瘤1例。钛夹使用数量为7~20枚,中位数为11(10,13)枚。ROLM缝合时间为13~37 min,平均(19.3±6.5)min。住院时间4~9 d,平均(6.5±1.2)d。术后无出血、穿孔、感染和消化道狭窄等并发症发生。术后3~6个月复查肠镜,手术创面均愈合良好。结论 ROLM能够安全、有效地闭合结直肠ESD后黏膜缺损。值得临床推广应用。

      • 0+1
      • 1+1
      • 2+1
      • 3+1
      • 4+1
      • 5+1
      • 6+1
      • 7+1
      • 8+1
      • 9+1
      • 10+1
      • 11+1
      • 12+1
    • 3D腹腔镜根治性顺行模块化胰脾切除术的临床疗效(附22例报告)

      2025, 31(12):83-88. DOI: 10.12235/E20250322

      摘要 (72) HTML (17) PDF 2.11 M (75) 评论 (0) 收藏

      摘要:目的 探讨3D腹腔镜根治性顺行模块化胰脾切除术(LRAMPS)治疗胰体尾癌的临床疗效。方法 回顾性分析2023年1月-2024年12月于该院行3D LRAMPS的22例患者的临床资料,统计手术时间、术中出血量、术后第一次下床时间、住院时间、术后排气时间、术后并发症、病理类型、随访情况和复发情况。结果 所有患者均在3D腹腔镜下成功完成手术。手术时间(263.6±20.5)min,术中出血量(100.4±30.5)mL,术后第一次下床时间(1.5±0.5)d,住院时间(8.5±2.1)d,术后排气时间(2.5±1.0)d。手术后发生A级胰瘘10例,B级胰瘘6例(给予充分引流抗感染等治疗后,均痊愈出院),无C级胰瘘发生。无术后大出血和围手术期死亡等情况发生。术后病理报告显示:胰腺导管腺癌17例,胰腺囊腺癌3例,神经内分泌癌2例。所有患者均获得R0切除,清扫淋巴结(15.1±4.3)枚,8例患者淋巴结检查阳性,阳性率为36.4%。术后随访4~19个月,中位随访时间12(5.5,16.5)个月,复发2例。结论 3D LRAMPS治疗胰体尾癌,是一种安全、有效和微创的治疗方法,腹腔镜手术经验丰富的医院可尝试开展。

      • 0+1
      • 1+1
      • 2+1
      • 3+1
      • 4+1
      • 5+1
      • 6+1

当期目录


年第卷第

文章目录

过刊浏览

年份

刊期

点击排行

引用排行

下载排行

中国内镜杂志声明
关闭