• 2025年第31卷第11期文章目次
    全 选
    显示方式: |
    • >论 著
    • 3种手术方案治疗肩关节复发性前脱位合并肩胛骨关节盂骨缺损 > 15%及啮合性Hill-Sachs损伤的疗效比较

      2025, 31(11):1-10. DOI: 10.12235/E20250353

      摘要 (120) HTML (54) PDF 2.11 M (97) 评论 (0) 收藏

      摘要:目的 探讨常规切开Latarjet手术、关节镜下Latarjet手术、关节镜下Bankart修复联合Remplissage手术在肩关节复发性前脱位(RASD)合并肩胛骨关节盂骨缺损 > 15%及啮合性Hill-Sachs损伤中的应用效果及安全性。方法 回顾性分析该院2022年1月-2024年12月收治的65例RASD合并肩胛骨关节盂骨缺损15%~25%及啮合性Hill-Sachs损伤患者的临床资料,根据手术方法的不同,分成A、B和C组;其中,A组实施常规切开Latarjet手术(n = 18),B组实施关节镜下Latarjet手术(n = 21),C组实施关节镜下Bankart修复联合Remplissage手术(n = 26)。比较3组患者手术情况、手术前后相关量表评分[视觉模拟评分法(VAS)、Constant-Murley肩关节评分和加州大学洛杉矶分校(UCLA)肩关节评分等]和肩关节活动度,以及术后并发症和复发情况。结果 手术时间:B组长于A组和C组(P < 0.05),A组长于C组(P < 0.05)。术中出血量和住院时间:A组多于或长于B组和C组(P < 0.05),B组多于或长于C组(P < 0.05)。3组疼痛VAS评分:术后1、6和12个月都低于同组术前(P < 0.05)。术后1和6个月疼痛VAS评分:A组均高于B组和C组同期(P < 0.05)。术后1个月疼痛VAS评分:B组高于C组(P < 0.05)。术后12个月疼痛VAS评分:3组差异不明显(P > 0.05)。比之同组术前,A组术后6和12个月,B组和C组术后1、6和12个月,UCLA肩关节评分均明显升高(P < 0.05)。术后1个月UCLA肩关节评分:A组低于B组和C组(P < 0.05),B组低于C组(P < 0.05)。术后6和12个月UCLA肩关节评分:3组患者差异均不明显(P > 0.05)。比之同组术前,A组术后6和12个月,B组和C组术后1、6和12个月Constant-Murley评分均明显升高(P < 0.05)。术后1个月Constant-Murley肩关节评分:A组低于B组和C组(P < 0.05)。术后6和12个月Constant-Murley肩关节评分:3组患者无明显差异(P > 0.05)。3组患者前屈上举活动度:术后12个月都大于同组术前(P < 0.05)。术后12个月前屈上举活动度:3组患者无明显差异(P > 0.05)。术前、术后12个月体侧外旋、外展90°外旋活动度:A组和B组组内和同期组间均无明显差异(P > 0.05)。C组体侧外旋、外展90°外旋活动度:术后12个月小于术前(P < 0.05)。术后12个月体侧外旋、外展90°外旋活动度:A组和B组均大于C组(P < 0.05)。术后并发症发生率和复发率:3组患者无明显差异(P > 0.05)。结论 常规切开Latarjet手术、关节镜下Latarjet手术、关节镜下Bankart修复联合Remplissage手术治疗RASD合并肩胛骨关节盂骨缺损15%~25%及啮合性Hill-Sachs损伤,均能有效改善肩关节功能及缓解疼痛,但两种肩关节镜手术的创伤更小,术后恢复更快。

      • 0+1
      • 1+1
      • 2+1
      • 3+1
      • 4+1
    • 髋关节镜联合多次小直径钻孔减压治疗早期股骨头缺血性坏死的临床疗效

      2025, 31(11):11-19. DOI: 10.12235/E20250008

      摘要 (118) HTML (39) PDF 776.15 K (104) 评论 (0) 收藏

      摘要:目的 探讨髋关节镜联合多次小直径钻孔减压治疗早期股骨头缺血性坏死的临床疗效。方法 选取2019年12月-2023年6月在该院接受治疗的早期股骨头缺血性坏死患者150例,根据治疗方法不同,将患者分为单独钻孔组(75例)和多次小直径钻孔组(75例)。其中,单独钻孔组脱落4例,多次小直径钻孔组脱落2例。最终,单独钻孔组纳入71例,多次小直径钻孔组纳入73例。单独钻孔组给予髋关节镜联合单独钻孔减压术,多次小直径钻孔组给予髋关节镜联合多次小直径钻孔减压术。两组患者术后均随访1年。比较两组患者手术相关指标、髋关节功能、疼痛程度(术前、术后3个月和术后1年)、肌力、生活质量(术前和术后1年)和骨代谢指标(术前和术后3个月)。结果 多次小直径钻孔组术中出血量明显少于单独钻孔组,差异有统计学意义(P < 0.05)。两组患者术后1年Harris评分明显高于术前和术后3个月,术后3个月明显高于术前;且多次小直径钻孔组术后1年Harris评分明显高于单独钻孔组,差异均有统计学意义(P < 0.05)。两组患者术后1年视觉模拟评分法(VAS)评分明显低于术前和术后3个月,术后3个月明显低于术前;且多次小直径钻孔组术后3个月和1年VAS评分明显低于单独钻孔组,差异均有统计学意义(P < 0.05)。两组患者术后1年肌力4级占比和健康调查量表36(SF-36)各项评分明显高于术前,且多次小直径钻孔组明显高于单独钻孔组,差异均有统计学意义(P < 0.05)。两组患者术后3个月血清骨形态发生蛋白-2(BMP-2)、25-羟胆钙化醇和胰岛素样生长因子-1(IGF-1)水平明显高于术前,且多次小直径钻孔组明显高于单独钻孔组,差异均有统计学意义(P < 0.05);两组患者术后3个月血清Ⅱ型胶原C端肽(CTX-Ⅱ)水平明显低于术前,且多次小直径钻孔组明显低于单独钻孔组,差异均有统计学意义(P < 0.05)。结论 髋关节镜联合多次小直径钻孔减压治疗早期股骨头缺血性坏死,术中出血量相对较少,术后疼痛轻微,骨代谢指标和肌力的改善效果优于单独钻孔减压,可明显提高患者髋关节功能和生活质量。值得应用于临床。

    • 艾司氯胺酮复合超声引导下神经阻滞在非小细胞肺癌胸腔镜下根治术后的镇痛作用探讨

      2025, 31(11):20-26. DOI: 10.12235/E20250123

      摘要 (93) HTML (45) PDF 706.83 K (94) 评论 (0) 收藏

      摘要:目的 探讨艾司氯胺酮复合超声引导下神经阻滞在非小细胞肺癌(NSCLC)胸腔镜下根治术后的镇痛作用。方法 选取2022年2月-2023年12月拟在该院行胸腔镜肺癌根治术的NSCLC患者130例,随机分为常规组和观察组,各65例。常规组实施术后常规镇痛和超声引导下神经阻滞,观察组在此基础上增加艾司氯胺酮。比较两组患者视觉模拟评分法(VAS)评分、疼痛介质[多巴胺(DA)、P物质(SP)和5-羟色胺(5-HT)]、应激反应指标[去甲肾上腺素(NE)、皮质醇(Cor)和前列腺素E2(PGE2)]和不良反应的差异。结果 两组患者术后VAS评分的组间效应和时间效应比较,差异均有统计学意义(P < 0.05),但交互效应比较,差异无统计学意义(P > 0.05)。当控制时间因素进行比较时,观察组术后6、12和24 h的VAS评分明显低于常规组,差异均有统计学意义(P < 0.05);当控制组间因素进行比较时,两组患者VAS评分随时间变化呈先升高后降低趋势,且各时间点比较,差异均有统计学意义(P < 0.05)。两组患者DA、5-HT、SP、NE、Cor和PGE2水平的组间效应和时间效应比较,差异均有统计学意义(P < 0.05),但交互效应比较,差异无统计学意义(P > 0.05)。当控制时间因素进行比较时,观察组术后24 h的DA、5-HT、SP、NE、Cor和PGE2水平明显低于常规组,差异均有统计学意义(P < 0.05);当控制组间因素进行比较时,两组患者DA、5-HT、SP、NE、Cor和PGE2水平随时间变化呈先升高后降低趋势,且各时间点比较,差异均有统计学意义(P < 0.05)。两组患者不良反应发生率比较,差异无统计学意义(P > 0.05)。结论 将艾司氯胺酮复合超声引导下神经阻滞应用于NSCLC胸腔镜下根治术后镇痛,能有效地减轻术后疼痛和应激反应,且不会增加不良反应的发生风险。值得应用于临床。

    • 内镜下电凝切除术与冷切除技术治疗老年复杂性结肠息肉的临床研究

      2025, 31(11):27-33. DOI: 10.12235/E20250183

      摘要 (119) HTML (39) PDF 713.10 K (98) 评论 (0) 收藏

      摘要:目的 探讨内镜下电凝切除术与冷切除技术治疗老年复杂性结肠息肉的临床疗效。方法 回顾性分析2021年8月-2023年8月于该院消化内科行内镜下结肠息肉电凝切除和冷切除治疗的100例老年结肠息肉患者的临床资料。根据手术方式的不同,将患者分为电凝组(50例)和冷切组(50例)。统计两组老年结肠息肉患者的息肉切除情况、术中及术后治疗情况、术后疼痛程度、胃肠道生活质量指数(GIQLI)评分、住院时间、治疗总费用,以及随访1年后的复发情况。结果 电凝组共切除息肉108枚,冷切组共切除息肉113枚,冷切组息肉完整切除率高于电凝组,标本受损率低于电凝组,差异均有统计学意义(P < 0.05);两组患者平均息肉切除数量和标本回收率比较,差异均无统计学意义(P > 0.05)。冷切组手术时间和住院时间短于电凝组,治疗总费用少于电凝组,术中钛夹使用率低于电凝组,差异均有统计学意义(P < 0.05)。电凝组术中出血、迟发出血、穿孔和腹痛发生率分别为6.00%、2.00%、2.00%和6.00%,高于冷切组的2.00%、0.00%、0.00%和2.00%,两组患者并发症总发生率比较,差异有统计学意义(P < 0.05)。冷切组术后24和48 h的视觉模拟评分法(VAS)评分低于电凝组,差异均有统计学意义(P < 0.05)。冷切组术后3个月的GIQLI评分高于电凝组,差异有统计学意义(P < 0.05)。冷切组术后1年的复发率低于电凝组,但两组患者比较,差异无统计学意义(P > 0.05)。结论 内镜下冷切除技术治疗老年复杂性结肠息肉患者,临床疗效较电凝切除术好,且安全性高,治疗费用少。值得临床推广应用。

    • 不同检测方法对软式内镜干燥效果评价的研究

      2025, 31(11):34-39. DOI: 10.12235/E20240656

      摘要 (112) HTML (65) PDF 1.35 M (81) 评论 (0) 收藏

      摘要:目的 比较氯化钴试纸与管腔检测仪在评估内镜干燥效果方面的效能,以期为临床选择合适的评估工具提供参考。方法 选取2023年11月-2024年3月该院胃镜和肠镜各10条循环实验,内镜再处理后,随机分为5个不同干燥时间组(30 s、3 min、6 min、9 min和12 min),共观察200个样本,使用氯化钴试纸和管腔检测仪评估干燥效果。结果 管腔检测仪检测胃肠镜干燥合格率高于氯化钴试纸,但氯化钴试纸在便捷性和成本效益方面明显优于管腔检测仪。管腔检测仪具有可视化功能,对残留液滴定量定位观察发现,胃肠镜干燥30 s后存在大量液滴残留,干燥3 min后液滴数量明显减少。其中,胃镜以轻度(1~5滴/条)和无(0滴/条)液滴残留为主,肠镜以中度(6~10滴/条)和轻度液滴残留为主。不同干燥时间内镜残留液滴数量比较,差异有统计学意义(P < 0.01),且定位液滴主要残留在管腔远端弯曲部和近端分叉部。结论 氯化钴试纸和管腔检测仪评价内镜干燥效果各有优势与不足,临床可结合两种方法全面评估内镜的整体干燥效果,以保障内镜再处理流程的安全性和有效性。

      • 0+1
      • 1+1
      • 2+1
      • 3+1
      • 4+1
      • 5+1
      • 6+1
      • 7+1
    • 内镜下套扎手术和外科痔切除术治疗内痔的临床价值比较

      2025, 31(11):40-46. DOI: 10.12235/E20250460

      摘要 (117) HTML (45) PDF 749.91 K (78) 评论 (0) 收藏

      摘要:目的 比较内镜下套扎手术与外科痔切除术对内痔的治疗价值。方法 选择2023年2月-2025年4月该院收治的340例内痔患者,根据治疗方法分为两组,行外科痔切除术的160例患者为对照组,行内镜下套扎手术的180例患者为观察组,比较两组患者手术相关指标,评估术后肛门疼痛情况,检测手术前后血清炎症因子、肛门功能、肛肠动力学指标和肛门狭窄程度,统计并发症情况。结果 观察组手术时间明显短于对照组,术中出血量明显少于对照组,治疗费用明显低于对照组,差异均有统计学意义(P < 0.05)。术后1和7 d,观察组疼痛视觉模拟评分法(VAS)评分明显低于对照组,差异有统计学意义(P < 0.05);术后1个月,观察组血清炎症因子水平明显低于对照组,差异有统计学意义(P < 0.05);术后1个月,观察组肛门功能Kelly量表评分明显高于对照组,差异有统计学意义(P < 0.05);术后1个月,两组患者肛肠动力学指标水平比较,差异有统计学意义(P < 0.05);观察组并发症发生率和肛门狭窄率明显较低(P < 0.05)。结论 内镜下套扎手术与外科痔切除术均可用于内痔治疗中,但与后者相比,前者在改善血清炎症因子、肛门功能、术后疼痛感方面效果更佳,还可缩短手术时间,减少术中出血量,减轻经济负担。

    • 生活习惯及细胞色素P4501A1基因多态性对胃镜诊断慢性萎缩性胃炎的影响

      2025, 31(11):47-54. DOI: 10.12235/E20250097

      摘要 (62) HTML (33) PDF 749.72 K (51) 评论 (0) 收藏

      摘要:目的 探讨生活习惯及细胞色素P4501A1(CYP1A1)基因多态性对胃镜诊断慢性萎缩性胃炎的影响因素。方法 选取2023年5月-2024年5月于该院行胃镜检查确诊的慢性萎缩性胃炎患者118例,纳入慢性萎缩性胃炎组,同期行胃镜检查确诊慢性非萎缩性胃炎的120例患者,纳入慢性非萎缩性胃炎组。比较两组患者临床资料、生活习惯、胃镜检查情况和CYP1A1基因多态性;采用多因素Logistic回归模型,分析影响胃镜诊断慢性萎缩性胃炎的因素;建立回归方程,并绘制受试者操作特征曲线(ROC curve),分析回归方程对胃镜诊断慢性萎缩性胃炎的预测价值。结果 多因素Logistic分析结果显示,幽门螺杆菌感染、胃炎家族史、快食、烫食、失眠和CYP1A1基因型G/G型是经胃镜诊断慢性萎缩性胃炎的影响因素(P < 0.05)。将上述因素纳入回归方程:Logit(P) = -8.252+幽门螺杆菌感染×0.741+胃炎家族史×0.636 + 快食×0.595+烫食×0.754+失眠×0.791 + CYP1A1基因型G/G型×0.752。按照回归方程绘制预测胃镜诊断慢性萎缩性胃炎的ROC curve,结果显示:当Logit(P) > 0.727时,敏感度为87.29%,特异度为86.67%,曲线下面积(AUC)为0.922。结论 幽门螺杆菌感染、胃炎家族史、快食、烫食、失眠和CYP1A1基因型G/G型是胃镜诊断慢性萎缩性胃炎的影响因素,据此建立的回归方程有效,可为临床筛选高危患者,制定预防和干预措施。

      • 0+1
    • 一次性子母胆道镜辅助内镜逆行阑尾炎治疗术对急性非复杂性阑尾炎的诊断和治疗价值分析

      2025, 31(11):55-61. DOI: 10.12235/E20250109

      摘要 (84) HTML (28) PDF 2.55 M (79) 评论 (0) 收藏

      摘要:目的 探讨一次性子母胆道镜辅助内镜逆行阑尾炎治疗术在急性非复杂性阑尾炎治疗中的诊断和治疗价值。方法 回顾性分析2022年9月-2024年9月该院内镜中心通过一次性子母胆道镜辅助内镜逆行阑尾炎治疗术治疗的39例急性非复杂性阑尾炎患者的临床资料,观察内镜下表现、子母网篮取石率、阑尾支架置入率、技术成功率、临床成功率、手术时间、住院时间、并发症发生率和术后6 h视觉模拟评分法(VAS)评分,以及术后24 h炎症指标。结果 28例(71.8%)患者结肠镜下阑尾开口可见充血和水肿,10例(25.6%)患者结肠镜下阑尾开口可见脓液流出,32例(82.1%)患者子镜下阑尾腔内可见大量脓液,20例(51.3%)患者子镜下阑尾腔内可见粪石;一次性子母胆道镜辅助内镜逆行阑尾炎治疗术的技术成功率为100.0%(39/39);手术时间(21.08±7.49)min;住院时间(3.97±2.08)d;8例(20.5%)患者行内镜下子母网篮取石术;14例(35.9%)患者行阑尾支架置入术。临床成功率为97.4%(38/39),1例患者术后临床症状和炎症指标未缓解,转外科行阑尾切除术。38例患者术后6 h的VAS评分 < 3分,腹痛症状明显缓解;术后24 h白细胞计数和中性粒细胞百分比较术前明显下降,差异均有统计学意义(P < 0.05);39例患者均未发生并发症;术后随访(5.94±4.03)个月,3例(7.7%)出现复发。结论 一次性子母胆道镜辅助内镜逆行阑尾炎治疗术诊断和治疗急性非复杂性阑尾炎,安全且有效,值得临床推广应用。

      • 0+1
      • 1+1
      • 2+1
      • 3+1
      • 4+1
      • 5+1
      • 6+1
      • 7+1
      • 8+1
      • 9+1
      • 10+1
      • 11+1
    • 宫腔镜联合钳夹术与宫腔组织切除动力系统治疗胚物残留的临床效果对比

      2025, 31(11):62-66. DOI: 10.12235/E20250281

      摘要 (54) HTML (25) PDF 654.63 K (65) 评论 (0) 收藏

      摘要:目的 比较宫腔镜联合钳夹术和组织切除动力系统治疗胚物残留(RPOC)的临床效果。方法 回顾性分析2023年1月-2024年12月该院因RPOC行宫腔镜手术的53例患者的临床资料,根据手术方法不同,分为联合钳夹组(n = 30)和组织切除组(n = 23)。比较两组患者术中和术后情况。结果 两组患者手术完成率分别为96.7%和95.7%,差异无统计学意义(P > 0.05);联合钳夹组手术时间较组织切除组长,术中出血量和器械插入次数较组织切除组多,差异均有统计学意义(P < 0.05)。两组患者均未发生并发症。两组患者膨宫液使用量、术后2周测量内膜厚度及月经情况比较,差异均无统计学意义(P > 0.05)。结论 宫腔镜组织切除动力系统治疗RPOC,较常用的联合钳夹术创伤小,效率更高。值得临床推广应用。

    • 新型经脐腹腔镜术与常规三孔法治疗单侧巨大腹股沟斜疝的对比研究

      2025, 31(11):67-74. DOI: 10.12235/E20250066

      摘要 (60) HTML (24) PDF 2.52 M (60) 评论 (0) 收藏

      摘要:目的 探究新型经脐腹腔镜术与常规三孔法治疗单侧巨大(≥15 mm)腹股沟斜疝的临床疗效。方法 回顾性分析2020年7月-2023年8月该院收治的213例单侧巨大(≥15 mm)腹股沟斜疝患儿的临床资料。按照手术方法不同,将患儿分为三孔组(107例,行三孔法腹腔镜疝囊高位结扎术)和新型组(106例,行新型经脐腹腔镜术)。比较两组患儿手术指标、儿童疼痛行为量表(FLACC)评分、家长对切口外观满意度、睾丸体积、术后并发症和复发率(术后1年内)。结果 新型组术中出血量和切口数量少于三孔组,切口长度、手术时间、术后切口愈合时间和住院时间短于三孔组,差异均有统计学意义(P < 0.05);术后6、12、24和48 h,新型组FLACC评分低于三孔组,差异均有统计学意义(P < 0.05);新型组患儿家长对切口外观满意度为100.00%,高于三孔组的88.79%,差异有统计学意义(P < 0.05);两组患儿术前患侧睾丸体积小于健侧,术后1年,患侧睾丸体积大于术前,差异均有统计学意义(P < 0.05);新型组术后1年健侧与患侧睾丸体积比较,差异无统计学意义(P > 0.05);两组患儿并发症总发生率和总复发率比较,差异均无统计学意义(P > 0.05)。结论 与常规三孔法比较,新型经脐腹腔镜术具有操作便捷、创伤小、疼痛轻、术后恢复快和切口美观等特点,应用于≥15 mm的单侧巨大腹股沟斜疝的治疗中,更具优势。

      • 0+1
      • 1+1
      • 2+1
      • 3+1
      • 4+1
      • 5+1
    • 膈下静脉在后腹腔镜下左肾上腺切除术中的应用

      2025, 31(11):75-82. DOI: 10.12235/E20250184

      摘要 (51) HTML (18) PDF 1.95 M (50) 评论 (0) 收藏

      摘要:目的 探讨以左膈下静脉为解剖标志,优先解剖肾上腺中央静脉,在后腹腔镜左肾上腺切除术(RLLA)中的可行性。方法 回顾性分析2021年1月-2023年12月于该院行RLLA的116例患者的临床资料,根据手术方式的不同,将患者分为实验组(以左膈下静脉为解剖标志,并优先解剖肾上腺中央静脉的RLLA)和对照组[传统“三层面法”解剖性后腹腔镜肾上腺切除术(RLA)],各58例。比较两组患者术中及术后24 h临床指标、应激指标、免疫功能和并发症。结果 两组患者顺利完成RLLA,且无1例中转开放手术。实验组手术时间、找到中央静脉时间、引流管留置时间和术后住院时间明显短于对照组,术中出血量和术后引流量明显少于对照组,差异均有统计学意义(P < 0.05);两组患者术后胃肠功能恢复时间比较,差异无统计学意义(P > 0.05)。两组患者术前炎症因子、应激指标和免疫功能指标比较,差异均无统计学意义(P > 0.05);两组患者术后24 h的白细胞(WBC)、C反应蛋白(CRP)和白细胞介素-6(IL-6)明显高于术前,且实验组明显低于对照组,差异均有统计学意义(P < 0.05)。两组患者术后24 h的丙二醛(MDA)明显高于术前,超氧化物歧化酶(SOD)和谷胱甘肽过氧化物酶(GSH-Px)明显低于术前,且实验组MDA明显低于对照组,SOD和GSH-Px明显高于对照组(P < 0.05)。实验组术后24 h的CD4+和CD4+/CD8+明显低于术前,且实验组术后24 h的CD3+、CD4+和CD4+/CD8+明显高于对照组,差异均有统计学意义(P < 0.05);两组患者术后24 h的CD8+比较,差异无统计学意义(P > 0.05)。实验组发生术中血压波动率明显低于对照组,差异有统计学意义(P < 0.05);两组患者均未发生腹膜损伤、肾蒂血管损伤和腹膜后血肿。结论 RLLA中以左膈下静脉作为解剖标志,优先解剖肾上腺中央静脉是可行的,可以改善手术指标,减轻应激反应和免疫应答,具有临床推广应用价值。

      • 0+1
      • 1+1
      • 2+1
      • 3+1
      • 4+1
      • 5+1
      • 6+1
    • 后腹腔镜手术两种切口方法损伤肋下神经的对照研究

      2025, 31(11):83-87. DOI: 10.12235/E20250176

      摘要 (61) HTML (20) PDF 923.67 K (49) 评论 (0) 收藏

      摘要:目的 比较后腹腔镜手术两种切口方法对肋下神经损伤的影响。方法 回顾性分析2022年7月-2024年6月在该院泌尿外科接受后腹腔镜手术治疗的91例患者的临床资料,根据建立后腹腔间隙的第一切口方法不同,将患者分为A组(47例)和B组(44例)。A组以肋脊角为第一切口,B组以腋中线髂棘上方为第一切口。术后随访6~24个月,观察手术侧的肋下神经损伤情况,包括:慢性疼痛、感觉麻木和腹壁隆起发生率。结果 A组肋下神经损伤的总体发生率为55.3%(26/47),明显高于B组的15.9%(7/44),差异有统计学意义(P < 0.01);其中,A组慢性疼痛的发生率为31.9%(15/47),明显高于B组的9.1%(4/44),差异有统计学意义(P < 0.01);两组患者神经损伤侧别比较,差异无统计学意义(P > 0.05)。结论 后腹腔镜手术以肋脊角为第一切口时,具有较高的肋下神经损伤风险。

      • 0+1
      • 1+1
      • 2+1
    • >临床研究
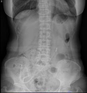
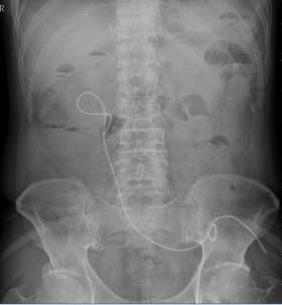
    • 软式内镜辅助逆行性输尿管导管置入术对Bricker回肠膀胱术后输尿管回肠吻合口狭窄的即刻再通疗效研究

      2025, 31(11):88-92. DOI: 10.12235/E20250160

      摘要 (64) HTML (32) PDF 2.24 M (75) 评论 (0) 收藏

      摘要:目的 探讨软式内镜辅助逆行性输尿管导管置入术,对Bricker回肠膀胱术后,输尿管回肠吻合口狭窄即刻再通的疗效。方法 回顾性分析2016年11月-2022年10月该院收治的17例Bricker回肠膀胱术患者的临床资料,共28处输尿管回肠吻合口狭窄,均行软式内镜辅助逆行性输尿管导管置入术治疗。结果 所有患者的总手术时间均 < 50 min。经内镜治疗成功再通的有21处。中位住院时间为6(4.75,8.50)d。28处输尿管回肠吻合口狭窄中,21处内镜下即刻再通成功(左侧10处,右侧11处),7处内镜下即刻再通失败(左侧4处,右侧3处)。21处内镜下即刻再通成功包括:单纯性逆行性置入输尿管导管15处,内镜下输尿管回肠吻合口扩张、网篮取石和逆行性支架置入1处,超细内镜下逆行性输尿管支架置入术3处,十二指肠镜下逆行性输尿管支架置入术2处。17例患者,输尿管支架尿液引流通畅,代膀胱回肠及输尿管回肠吻合口均有不同程度擦伤和少量出血,未发生迟发性出血、穿孔、严重泌尿系感染、支架堵塞和移位等严重并发症。结论 软式内镜辅助逆行性输尿管导管置入术,对输尿管回肠吻合口狭窄的即刻再通,安全且有效。值得应用于临床。

      • 0+1
      • 1+1
      • 2+1
      • 3+1
      • 4+1
      • 5+1
      • 6+1
      • 7+1

当期目录


年第卷第

文章目录

过刊浏览

年份

刊期

点击排行

引用排行

下载排行

中国内镜杂志声明
关闭